骰骨位置图片

骰骨
图片尺寸300x238
骰骨
图片尺寸200x291
左脚楔骨骰骨骨折几级工伤? - 知乎
图片尺寸453x539
下肢生物力学矫形之--足弓支撑(二)ppt 胫骨 舟骨 腓 骨 距骨 骰骨
图片尺寸1080x810
骰骨
图片尺寸349x405
左脚楔骨骰骨骨折几级工伤? - 知乎
图片尺寸563x552
医学上,将前述这类状况归类为骰骨症候群,常见引起的原因有但不限于
图片尺寸800x462
跗骨(组成足后半部的短骨,共有7块,即跟骨,距骨,足舟骨,骰骨和3块楔骨
图片尺寸656x584
中足外侧痛的常见原因骰骨错位力学分析与康复
图片尺寸398x400
内旋,外旋,曲,伸,都没有明显的疼痛,就是骰骨部分隆起站立承重和疼痛
图片尺寸960x1280
其右侧的骰骨外侧可见片状钙化影以及第五跖骨基底部骨质形状不规则
图片尺寸1080x540
中足外侧痛的常见原因骰骨错位力学分析与康复
图片尺寸660x442
足骨之骰骨篇2019年6月21日(7)
图片尺寸640x1387
骰骨的3d解剖
图片尺寸1630x1018
医药基础 2ppt
图片尺寸1080x810
影像记忆口诀集绵图文总结版二
图片尺寸1080x894
筛骨
图片尺寸575x380
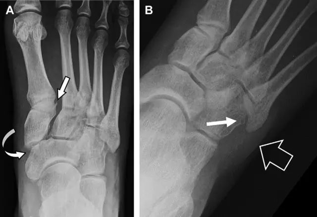
骨折在靠近内侧楔骨处(箭头);b 外侧跗跖关节损伤伴随从骰骨跖骨韧
图片尺寸640x438
脑室·颅骨·筛骨
图片尺寸600x380
筛骨
图片尺寸500x359