髓质海绵肾ct表现

髓质海绵肾
图片尺寸1600x2560
【病例学习】髓质海绵肾的ct表现
图片尺寸518x476
髓质海绵肾的影像诊断
图片尺寸960x720
典型髓质海绵肾1例
图片尺寸1600x1200
髓质海绵肾影像诊断
图片尺寸613x510
【讨论】关于髓质海绵肾
图片尺寸1024x3072
ct 秒杀:肾脏病变快速鉴别_课程_影像_腹膜
图片尺寸584x428
髓质海绵肾超声病例 2022 medullary sponge kidney (ultrasound & ct
图片尺寸448x252
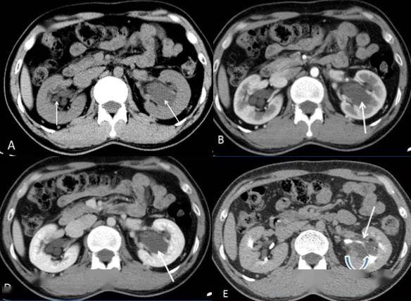
图5 髓质海绵肾典型ct表现b图6 髓质海绵肾结石脱落,形成输尿管结石
图片尺寸1582x635
髓质海绵肾影像诊断
图片尺寸960x720
髓质海绵肾影像表现_全网_解剖图_输尿管
图片尺寸1003x382
髓质海绵肾的影像学改变和治疗
图片尺寸1586x637
【双语病例】髓质海绵肾(ivp,ct) 鉴别诊断
图片尺寸574x413
髓质海绵肾影像表现_全网_解剖图_输尿管
图片尺寸1080x810
泌尿及生殖医学专业讨论版 › 髓质海绵肾一例,大家共同学习 ct
图片尺寸970x727![低浓度碘对比剂在肾脏msct增强扫描中的可行性研究[j].](https://i.ecywang.com/upload/1/img2.baidu.com/it/u=2538966056,1822341774&fm=253&fmt=auto&app=138&f=JPEG?w=708&h=500)
低浓度碘对比剂在肾脏msct增强扫描中的可行性研究[j].
图片尺寸1080x763
想去做单侧肾上腺切除,我们说服她做了肾上腺静脉采血(acth刺激),结果
图片尺寸1440x1080
【共享】髓质海绵肾:通过一个病例先接触的术后ct表现的困惑,到追踪多
图片尺寸939x853
海绵肾
图片尺寸3968x2976
髓质海绵肾的影像诊断
图片尺寸960x720