麦地那龙线虫

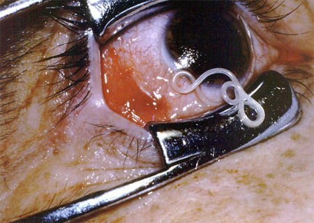
麦地那龙线虫
图片尺寸458x583
麦地那龙线虫病
图片尺寸500x299
麦地那龙线虫
图片尺寸900x652
神秘的外来入侵者——麦地那龙线虫
图片尺寸430x263
4k超高清科普:恶心寄生虫——麦地那龙线虫
图片尺寸3456x2160
量子计算机|长达120厘米的麦地那龙线虫,肆虐非洲,让350多万人遭受
图片尺寸623x255
"被忽视的热带病"之麦地那龙线虫病
图片尺寸660x447
"被忽视的热带病"之麦地那龙线虫病
图片尺寸555x277
麦地那龙线虫
图片尺寸650x905
麦地那龙线虫
图片尺寸455x330
麦地那龙线虫,狗狗麦地那龙线虫病的原因是什么
图片尺寸500x340
长达1米,钻破人体,2周才能拔出来,麦地那龙线虫有多恐怖?
图片尺寸660x447
在非洲寄生三百万人的龙线虫,疑似出现在中国境内?
图片尺寸1406x842
6种可怕的寄生虫,竟然有
图片尺寸450x319
污水之中,生活在水中的它们人的肉眼是无法看见的,比如麦地那龙线虫
图片尺寸723x405
比如麦地那龙线虫会释放一种酸性物质,让人类的皮肤产生带有灼烧感的
图片尺寸488x317
什么是麦地那龙线虫?
图片尺寸600x400
麦地那龙线虫是通过什么方式在人体内寄生的呢?
图片尺寸1920x1080
麦地那龙线虫
图片尺寸639x420
四川疑似发现非洲龙线虫已上报当地疾控中心龙线虫是什么虫对人体有害
图片尺寸1160x718