黄斑前膜oct

黄斑前膜怎么治疗?
图片尺寸546x608
警惕黄斑前膜 - 知乎
图片尺寸720x859
黄斑前膜黄斑区多长了一层膜严重损害视力
图片尺寸1080x513
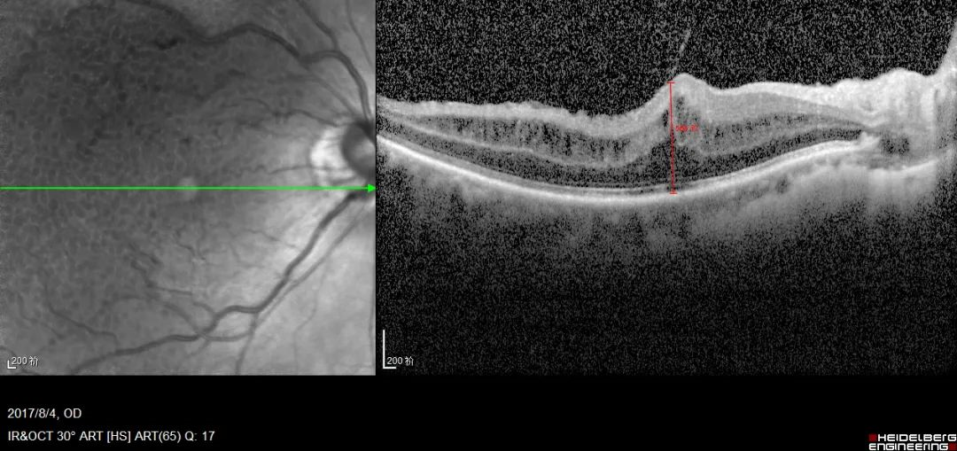
黄斑前膜的oct表现:黄斑前膜手术:采用微创玻切手术,仔细将黄斑区
图片尺寸600x534
警惕黄斑前膜 - 知乎
图片尺寸1920x2043
黄斑前膜图片
图片尺寸868x603
仁济健康丨你的眼底疾病都逃不过黄斑oct的火眼金睛
图片尺寸1024x587
全国爱眼日 | 从甘肃兰州到广东佛山,不远万里除前膜_黄斑
图片尺寸778x398
"膜"让黄斑前膜扭曲了您的"视"界 - 好大夫在线
图片尺寸298x324
bmc子刊:40岁以下黄斑视网膜前膜患者的临床研究_黄斑视网膜前膜_医脉
图片尺寸693x801
"黄斑前膜"手术后视力不改善:谁之错?
图片尺寸640x265
oct示病灶对应部位隆起,其间组织结构紊乱被误诊为特发性黄斑前膜的
图片尺寸1634x1433
黄斑前膜
图片尺寸1080x871
特发性黄斑前膜内层视网膜不规则指数与手术后视功能的相关性研究
图片尺寸2362x1229
黄斑前膜
图片尺寸400x266
黄斑前膜
图片尺寸640x617
医生黄斑前膜要病向浅中医宜早不宜迟
图片尺寸782x759
黄斑前膜
图片尺寸977x741
(诊断及治疗全攻略)_黄斑前膜_介绍_发病原因_症状表现_检查_治疗方式
图片尺寸1139x939
术后黄斑部oct显示前膜已被完整剥除,见下图
图片尺寸1080x509