黑牙带

一个"黑牙女孩"自卑的20年如何改变自己
图片尺寸1000x626
黑牙怎么美白,牙博士有什么妙招
图片尺寸625x375
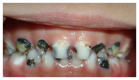
4岁女童满口"黑牙",奶奶带孩子去看牙医,医生:不是糖的锅
图片尺寸489x280
厂家直销新款高品质滴胶3mm直线牙带 黑色滴胶牙带 可加工定制
图片尺寸750x519
6岁换牙就好了3岁宝宝满口黑牙妈妈却毫不在乎医生怒斥
图片尺寸640x777
孩子满口黑牙就像50岁的"老烟枪"好吓人,妈妈知道为什么吗?该怎么办?
图片尺寸630x425
海钓超大黑牙带
图片尺寸720x1280
铭闽真黑狗牙 随身带吊坠 小牙齿银狼牙项链 网红ins挂件本命年饰品
图片尺寸800x800
qwc06 现货处理1cm黑底银丝子母带 服饰辅料黑底银边牙子带
图片尺寸400x400
4岁女孩满口"黑牙"?妈妈带孩子去看牙医,医生:这不是糖的锅
图片尺寸636x428
牙发黄变黑,应该怎样美白?
图片尺寸579x357
小小年纪就满口黑牙主要是这四个原因所致越早知道越好
图片尺寸640x451
小儿满口黑牙,不是因为吃糖,是父母的无知!
图片尺寸429x299
厂家现货供应内衣松紧带尼龙材质单面磨毛罗纹织带牙边黑色弹力带
图片尺寸800x800
老款发梳大人用头箍简约发饰头饰老人大人发卡带牙齿黑发箍图片款塑料
图片尺寸750x500
经典纯色磨砂黑色带牙齿发箍发卡拉直学生头箍洗脸运动写作业发饰
图片尺寸800x600
很好看的一颗黑狗牙
图片尺寸1080x1439
f-670金线黑色波浪狗牙特种蜈蚣带编织洛丽塔娃娃装花边辅料
图片尺寸1920x1920
告别大黄牙!这款黑科技纳米牙擦要逆天了,只需轻轻一擦,牙渍全无!
图片尺寸506x675
5号金属拉链开尾开口拉链古铜亮银黑色铜牙齿拉链黑色布带女包邮
图片尺寸800x800