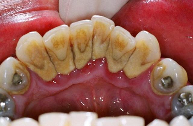
龈上牙石

牙结石图片_有来医生
图片尺寸750x500
牙结石到底是个什么东东? - 好大夫在线
图片尺寸671x598
360影视-影视搜索
图片尺寸960x600
花200元洗一次牙,到底值不值?牙医告诉你真相
图片尺寸640x420
牙结石要洗牙吗 看牙石走医保吗-全球五金网
图片尺寸400x400
你有牙结石吗? - 美篇
图片尺寸750x1503
牙结石突然掉了一块怎么办? - 健康头条
图片尺寸640x378
小苏打溶解牙结石小妙招 牙结石是什么样的图片-方日排行
图片尺寸464x266
你了解洗牙吗?有哪些好处
图片尺寸592x430
牙齿上长出一颗「黄黄硬硬的结石」, 教你一个土方法去除,不用去洗牙!
图片尺寸574x401
【健康科普】尴尬!聊着天,突然牙结石掉出来了_政务_澎湃新闻-the pap
图片尺寸1024x768
已经形成的牙结石怎么缓解(牙结石是如何产生的)
图片尺寸498x294
这样牙结石是不是严重
图片尺寸1080x1200
多年不洗牙,牙结石堆成钟乳石! 是时候放下对洗牙的偏见了!_牙齿
图片尺寸690x630
牙结石自己脱落小妙招(牙结石会自己脱落吗)-艺快修网
图片尺寸703x459
牙结石长得多,还在吃饭时掉出来?只因你每天都在"无效"刷牙!
图片尺寸640x356
提问|牙结石为什么会长在牙龈下面?_牙齿
图片尺寸800x569
洗牙对牙结石有效吗?过来人紧急支招,成片牙石在家就能彻底清除
图片尺寸640x379
洗牙后医生建议做「龈下刮治」,很疼吗,有必要做吗?
图片尺寸911x512
牙结石是怎么回事?_39健康经验
图片尺寸500x333