龈瓣是什么

展开全部 1.检查可见下颌第三磨牙萌出不全,有龈瓣覆盖,盲袋形成.
图片尺寸400x300
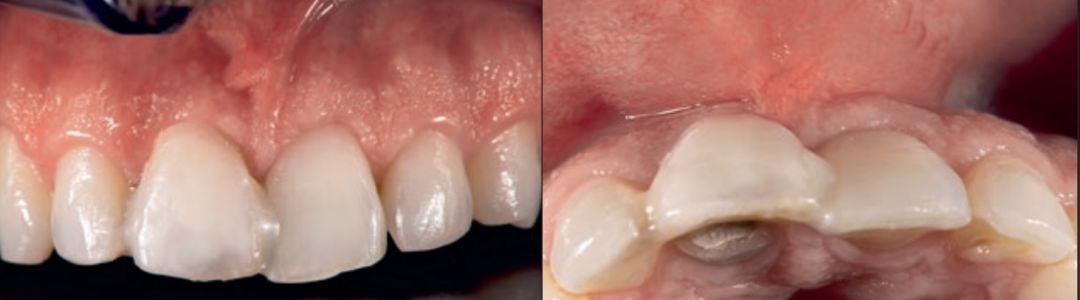
改良龈瓣设计结合pla膜及βtcp骨替代材料行美学区水平骨增量的疗效
图片尺寸882x606
5-0 可吸收线缝合图32 术后8 周各种牙周软组织瓣的适应证下牙牙龈
图片尺寸439x344
侯建霞牙周高级班膜龈手术gtrgbr游离龈瓣移植术牙周缝合
图片尺寸640x477
种植牙骨丧失,牙龈萎缩,附着龈丧失,植体螺纹暴露图26 翻瓣后发现骨缺
图片尺寸539x378
智齿龈瓣切除
图片尺寸476x395
改良龈瓣设计结合pla膜及βtcp骨替代材料行美学区水平骨增量的疗效
图片尺寸1080x335
智齿龈切术
图片尺寸500x488
保卫功能牙:逆转下滑的长寿指标
图片尺寸1080x611
手术中可使用曲板式拉勾,把切开的组织瓣拉开避免使用钻时伤及.
图片尺寸500x544
冠向复位瓣联合结缔组织瓣治疗下前牙牙龈退缩
图片尺寸631x402
侯建霞牙周高级班膜龈手术gtrgbr游离龈瓣移植术牙周缝合
图片尺寸538x396
直达骨膜纵向切口避开龈乳头,达膜龈联合下方,锐性分离半厚瓣将瓣往根
图片尺寸589x448
5-0 可吸收线缝合图32 术后8 周各种牙周软组织瓣的适应证下牙牙龈
图片尺寸539x439
充分减张,无张力缝合龈瓣,术后10天-14天拆线.
图片尺寸624x1277
改良龈瓣设计结合pla膜及βtcp骨替代材料行美学区水平骨增量的疗效
图片尺寸1080x300
双侧上下后牙种植修复后应用游离龈移植术改善软组织条件利于健康维护
图片尺寸767x448
冠向复位瓣联合结缔组织移植治疗牙龈萎缩整体效果更好
图片尺寸640x468
牙医学堂临床牙周病例剖析三种牙龈翻办术的选择及应用
图片尺寸640x475
k收起 f m向左旋转 n向右旋转
图片尺寸690x357