13岁骨骺线

13岁男孩骨龄闭合,最有效长高办法
图片尺寸640x1105
13岁男孩的骨龄片子
图片尺寸720x1280
13岁女孩不长个父亲悔得直跺脚千万不能忽视这件事
图片尺寸825x656
骨骺马上要闭合了结果骨龄片子拍出来一看看看还能长多高最近妈妈带着
图片尺寸660x691
骨骺线闭合状态给幼小的孩子使用化妆品有哪些危害?1,导致性早熟.
图片尺寸690x318
单凭骨龄并不能准确预测身高
图片尺寸400x423
义诊预告丨孩子想要长高调理体质增强抵抗力我院儿科送福利啦
图片尺寸1004x673
骨龄几岁?还能长高吗?(女孩篇)
图片尺寸1147x856
一些国外同仁的文献:上肢(a)和下肢(b)的主要骨的二次(骨骺和骨骺)
图片尺寸600x424
13岁男童停止长个子骨骺线提早闭合很多孩子都在面临这个问题
图片尺寸640x360
生长发育科徐永剑所长
图片尺寸720x1090
青春期男孩,一年追高12公分,想长高不打针一样可以 这是线上复诊的
图片尺寸1028x1280
男孩14岁与女孩14岁的骨龄片(男孩上图,女孩下图)15.
图片尺寸457x610
软骨板呈现为一条线,好像将骨头的尾端断开了,这条线称为骨骺线
图片尺寸500x196
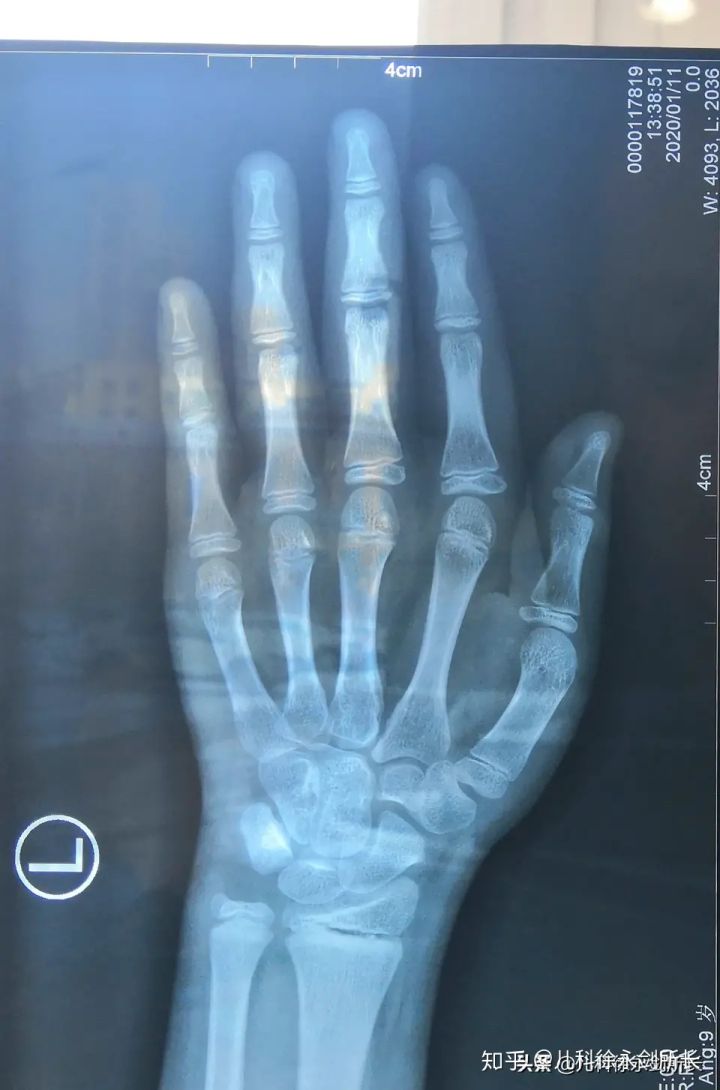
我的骨骺线怎么看是闭合的?
图片尺寸2448x3264
注意:一般女孩骨龄14岁,男孩骨龄16岁,骨骺线基本闭合,身高停止生长!
图片尺寸960x540
男孩13岁6月与女孩13岁6月的骨龄片(男孩上图,女孩下图)14.
图片尺寸454x610
如果骨缝线闭合了还能后天增高吗?
图片尺寸360x480
13岁女娃每天被迫跳绳3000下,结果……|游泳|半月板损伤|骨骺|胫骨
图片尺寸640x684
13岁男孩160cm,骨骺线快要闭合,想长高如何补救
图片尺寸572x400