chondroma

extraskeletalchondroma
图片尺寸267x400
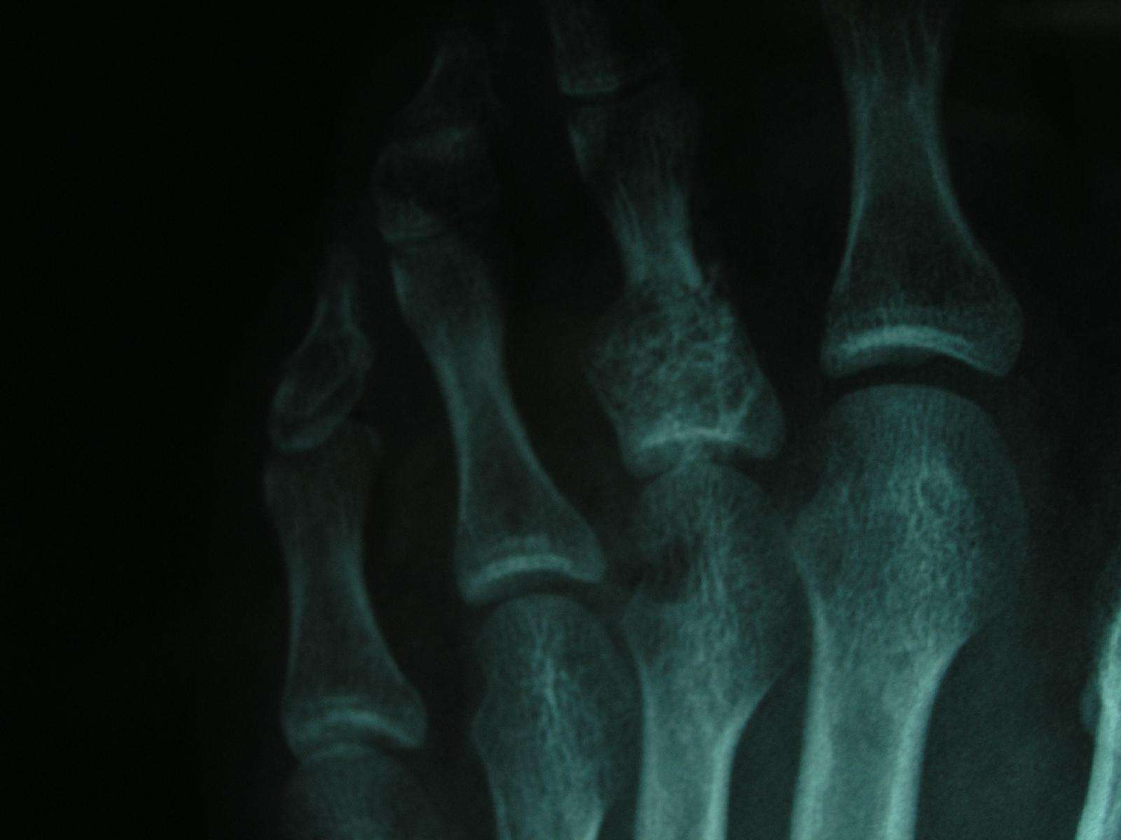
转同行:手指关节肿胀疼痛内生性软骨瘤(enchondroma)良性软骨肿瘤
图片尺寸1080x1440
八,滑膜软骨瘤病(synovial chondromatosis)一种累及关节,滑膜下组织
图片尺寸1080x1218
仅有骨巨细胞瘤(giant cell tumor)和内生软骨肉瘤(enchondroma)良性
图片尺寸640x693
软骨图片
图片尺寸450x300
extra skeletal chondroma of the knee: a case report
图片尺寸759x423
肱骨内生软骨瘤
图片尺寸675x759
内生软骨瘤(enchondroma) - 好大夫在线
图片尺寸1600x1200
病例报道:全膝置换术后新发滑膜软骨瘤病
图片尺寸477x565
circfat1 sponges mir-375 to promote the express
图片尺寸785x1038
成软骨性骨肿瘤的影像学诊断ppt
图片尺寸1080x810
内生软骨瘤(enchondroma) 4.
图片尺寸630x630
agent for treating chondroma and chondrosarcoma
图片尺寸1079x1894
outcome of conservative and surgical treatment of enchondromas
图片尺寸1181x1251
成软骨性骨肿瘤的影像学诊断优质医学
图片尺寸920x690
原发性滑膜骨软骨瘤病(synovial chondromatosis)又称滑膜软骨
图片尺寸750x562
滑膜骨软骨瘤病ppt
图片尺寸800x600
肱骨软骨母细胞瘤影像诊断
图片尺寸1080x608
程序员手疼7年查出骨肿瘤是长期敲键盘惹的祸吗
图片尺寸452x631
mixter和barr1934椎间盘退变突出椎管内侵及的外科治疗
图片尺寸800x894