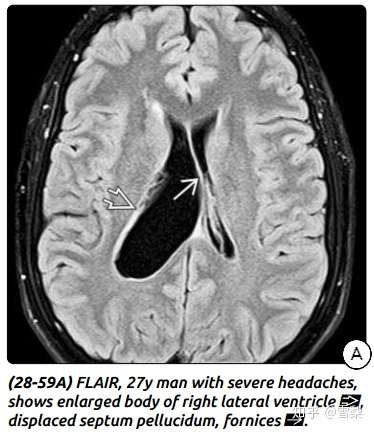
ependymal

知乎日报
图片尺寸720x576
胼胝体病变的诊断思路(文献综述)_附院
图片尺寸960x720
ependymalcyst室管膜囊肿
图片尺寸374x432
北大神经生物学课件2_2-1神经元和神经胶质细胞-胶质细胞ppt
图片尺寸1080x810
ad影像新进展冯晓源
图片尺寸1599x1199
吉网管家
图片尺寸800x549
脑灰质异位
图片尺寸915x608
万细胞(schwann cell);分布在周围神经系统的有:室管膜细胞(ependymal
图片尺寸1177x856
transcriptional regulation of ependymal cell maturation within
图片尺寸778x636
感觉统合的神经系统构成
图片尺寸602x486
of key molecular and clinical characteristics of ependymal
图片尺寸450x448
既然癌细胞可无限增殖,如果人类通过某种技术使癌细胞
图片尺寸720x556
lecture 3-14
图片尺寸500x268
and collects proteins secreted by brain tumors as the ependymal
图片尺寸479x387
of mouse brain ventricular wall for the analysis of ependymal
图片尺寸981x1485
$
图片尺寸2480x3508
glial cells include: - oligodendrocytes, astrocytes, ependymal
图片尺寸500x330
神经元的全天候合作伙伴胶质细胞
图片尺寸1041x472
the adult sez is organized below a ciliated ependymal monolayer
图片尺寸2400x1513
mouse subependymal zone explants cultured on primary astrocytes
图片尺寸1254x1498