henle干 血管

henle 干解剖
图片尺寸1587x993
血凝管(血浆类采血管)分离胶管(血清类采血管)促凝
图片尺寸800x576
刘琳echo:永存动脉干分型.图1:collett and edwards;图2:van praagh.
图片尺寸719x270
肝素血液收集管 - buy 真空血管,肝素锂,真空管 product on alibaba.
图片尺寸2000x2000
henle干
图片尺寸640x375
共同动脉干永存动脉干
图片尺寸475x536
人类身体的血管(1/1)
图片尺寸800x999
henle's 干,cme 手术绕不过去的解剖结构_结肠
图片尺寸818x593
5 henle干 存在henle干者195例(97.5%).5例(2.
图片尺寸1080x858
「钰」您谈心:胎儿永存动脉干畸形
图片尺寸685x355
henle干
图片尺寸585x340
he染色 ↑血管内 皮
图片尺寸1080x810
血沉管
图片尺寸550x427
永存动脉干
图片尺寸1890x1925
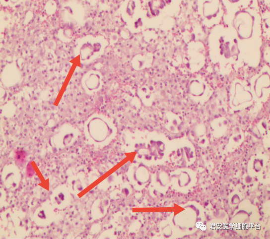
经he染色后,血管丰富,核染色质深染,细胞成腺管样,腺泡样(如箭头所指)
图片尺寸544x482
腹腔镜右半结肠癌根治术henle干的解剖技巧
图片尺寸640x532
胃肠干,也叫henle干(亨利氏干)
图片尺寸640x612
henle's 干,cme 手术绕不过去的解剖结构_结肠
图片尺寸1080x630
医学笔记右半结肠手术的重要解剖标志主要血管标志详细版
图片尺寸1080x1684
腹腔干的解剖,见过的,最详细的版本!
图片尺寸498x500