kallman综合征

生而不凡还是自我不凡?
图片尺寸660x345
他患卡尔曼氏综合征生来没有性欲徒步五年帮助罕见病病友
图片尺寸640x480
(网页截图) 患有克鲁宗综合症的大多数孩子,都会在18个月大之前接受
图片尺寸650x912
美国16岁"畸形脸"少女不自弃 反而更努力活出色彩
图片尺寸1280x853
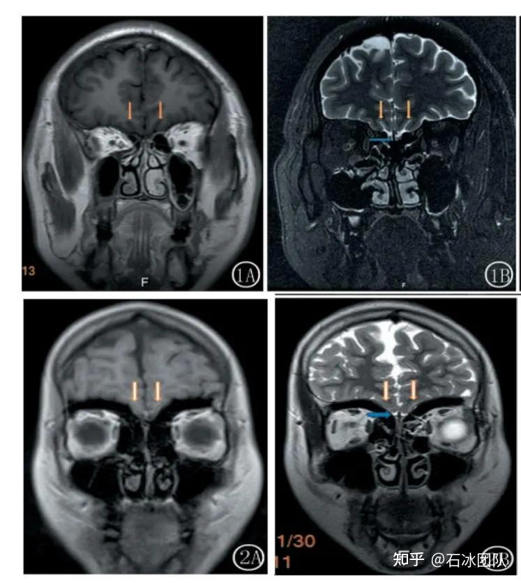
卡尔曼综合征
图片尺寸1005x669
卡尔曼氏综合征是一种低促性腺功能减退症
图片尺寸1080x810
容颜停在13岁长达十年,这个长不大的男人徒步中国,竟是为了
图片尺寸600x750
据专业的医生说,这其实是一种叫作克鲁宗综合征的疾病,它会引起颅部和
图片尺寸598x441
kallman综合征ppt课件.ppt
图片尺寸1152x864
卡尔曼氏综合征
图片尺寸800x619
预习卡尔曼综合征kallmannsyndrome中英字幕
图片尺寸1150x719
kallman综合征ppt课件
图片尺寸800x600
马凡氏综合征天才体型后面的隐患
图片尺寸640x785
kallman综合征.ppt
图片尺寸1152x864
kallman综合征.ppt
图片尺寸1152x864
贾仲林副教授谈谈kallmann综合征
图片尺寸747x837
kallman综合征
图片尺寸920x690
kallman综合征课件
图片尺寸920x517
kallman综合征ppt课件
图片尺寸920x690
kallman综合征课件
图片尺寸920x517