swi相位图和幅度图

可同时获得幅度图像(magnitude image)和相位图像(phase image)
图片尺寸696x970
三相交流电的相位关系 图片来源:原创
图片尺寸640x384
swi磁敏感加权成像在中枢神经系统疾病的应用
图片尺寸960x720
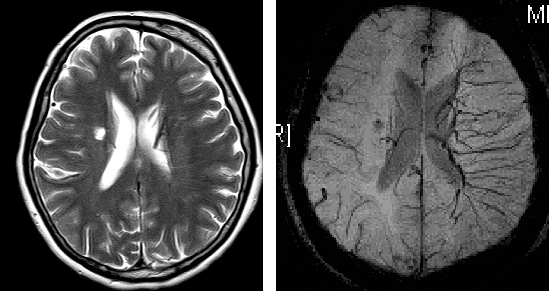
t2wi图像swi图像
图片尺寸549x291
swi的成像原理及相关病例随访
图片尺寸960x720
磁共振中磁敏感(swi)这个检查真是个不可多得好序列,他总是 - 抖音
图片尺寸1080x781
2.7 接收和发送传感器相位和幅度特性
图片尺寸1280x838
单级相位和幅值可控交流变换器及其工作方法与流程
图片尺寸829x988
可同时获得幅度图像(magnitude image)和相位图像(phase image)
图片尺寸692x1069
空军工程大学李勇峰团队advancedopticalmaterials相位和振幅可调的
图片尺寸554x374
四,应用例 (一),三相四线式电力系统的相位与电力参数分析
图片尺寸621x376
可同时获得幅度图像(magnitude image)和相位图像(phase image)
图片尺寸629x1444
a. 磁矩图;b. 滤过相位图;c. 最小信号投影转换图;d.swi
图片尺寸614x716
可同时获得幅度图像(magnitude image)和相位图像(phase image)
图片尺寸690x1522
优化后交叉口相位相序图(虚线为行人相位)
图片尺寸705x359
波形图怎么看相位超前与滞后电压和电流的超前与滞后
图片尺寸800x400
线电压超前相电压30度 转>,相电压ua与线电压ubc的相位角相差90度. .
图片尺寸525x335
相位响应相位延时群延时
图片尺寸640x480
3 光学中的"相位"
图片尺寸627x522
(2)垂直方向相位信号和振动频率图
图片尺寸640x418