wernicke脑病影像

wernicke脑病影像表现
图片尺寸1080x810
wernicke脑病的影像诊断
图片尺寸1080x608
wernicke脑病mri表现-搜狐大视野-搜狐新闻
图片尺寸887x500
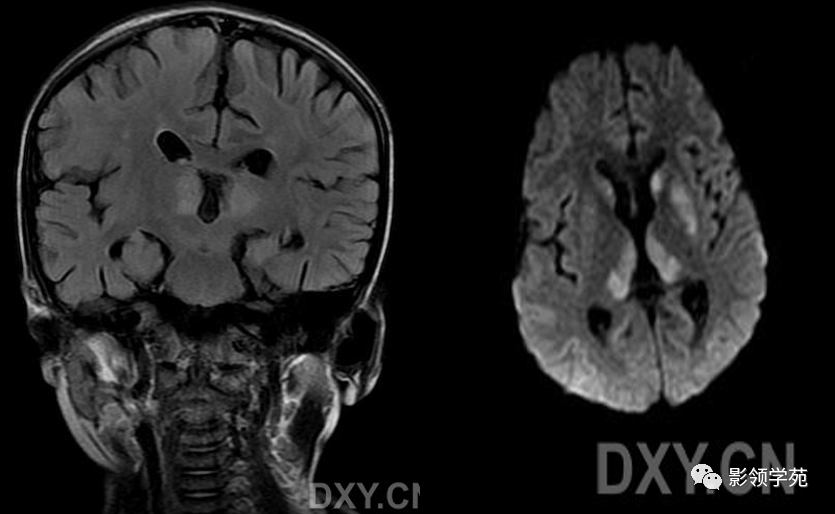
萌妹子课堂甲亢致wernicke脑病1例
图片尺寸695x701
一男子每日饮白酒半斤,被医生诊断:wernicke脑病.
图片尺寸1116x572
脊髓血管畸形颅内肿瘤韦尼克脑病丨3分钟读片24期
图片尺寸608x331![[文献阅读] 中毒性及代谢性脑病 1](https://i.ecywang.com/upload/1/img0.baidu.com/it/u=2266000996,1322445080&fm=253&fmt=auto&app=138&f=JPEG?w=600&h=500)
[文献阅读] 中毒性及代谢性脑病 1
图片尺寸1080x900
神经影像:wernicke脑病的影像特点
图片尺寸1692x1263
韦尼克脑病ppt 第12页 (共25页,当前第12页) 你可能喜欢 wernicke脑病
图片尺寸1080x810
都是减肥惹的祸:wernicke 脑病一例
图片尺寸508x515
wernicke脑病mri表现
图片尺寸860x454
wernicke脑病影像表现
图片尺寸1080x810
wernicke脑病mri表现
图片尺寸835x514
wernicke脑病mri表现
图片尺寸1080x594
wernicke脑病mri表现
图片尺寸1080x340
wernicke脑病【图文详解】-世佳生活百科网
图片尺寸960x720
wernicke脑病的影像诊断
图片尺寸1080x608
视神经脊髓炎和wernicke脑病的鉴别诊断_患者
图片尺寸640x580
wernicke脑病
图片尺寸480x518
14 个病例,带你搞定慢性酒精中毒性脑病影像学表现
图片尺寸558x455