x线检查图片

胸部x光检查:如何准备,进行和解读检查结果 胸部x光检查是一种非常
图片尺寸1909x1280
庄浪县人民医院先进科室--放射科_成像_检查_诊断
图片尺寸1052x1932
安检x线检查有辐射,可致癌?陷入3个误区,疾病就"有机可乘"
图片尺寸624x383
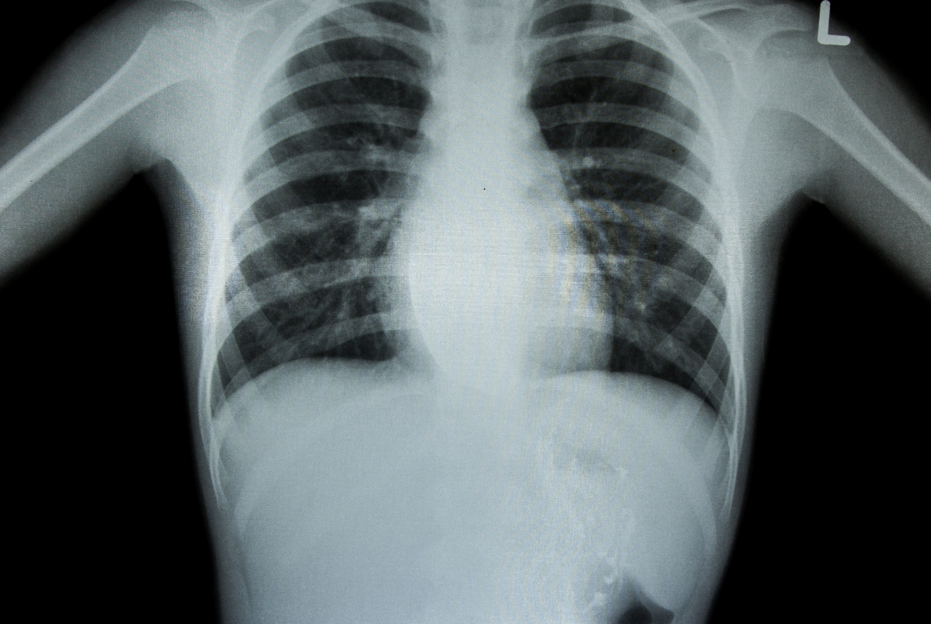
胸部x光检查:检测乳腺癌的重要性和方法 胸部x光检查是一种常见的影像
图片尺寸1829x1280
复查结果来了~ 小孩体态一直不太好 年前去医院检查发现了脊柱侧弯
图片尺寸2048x2048
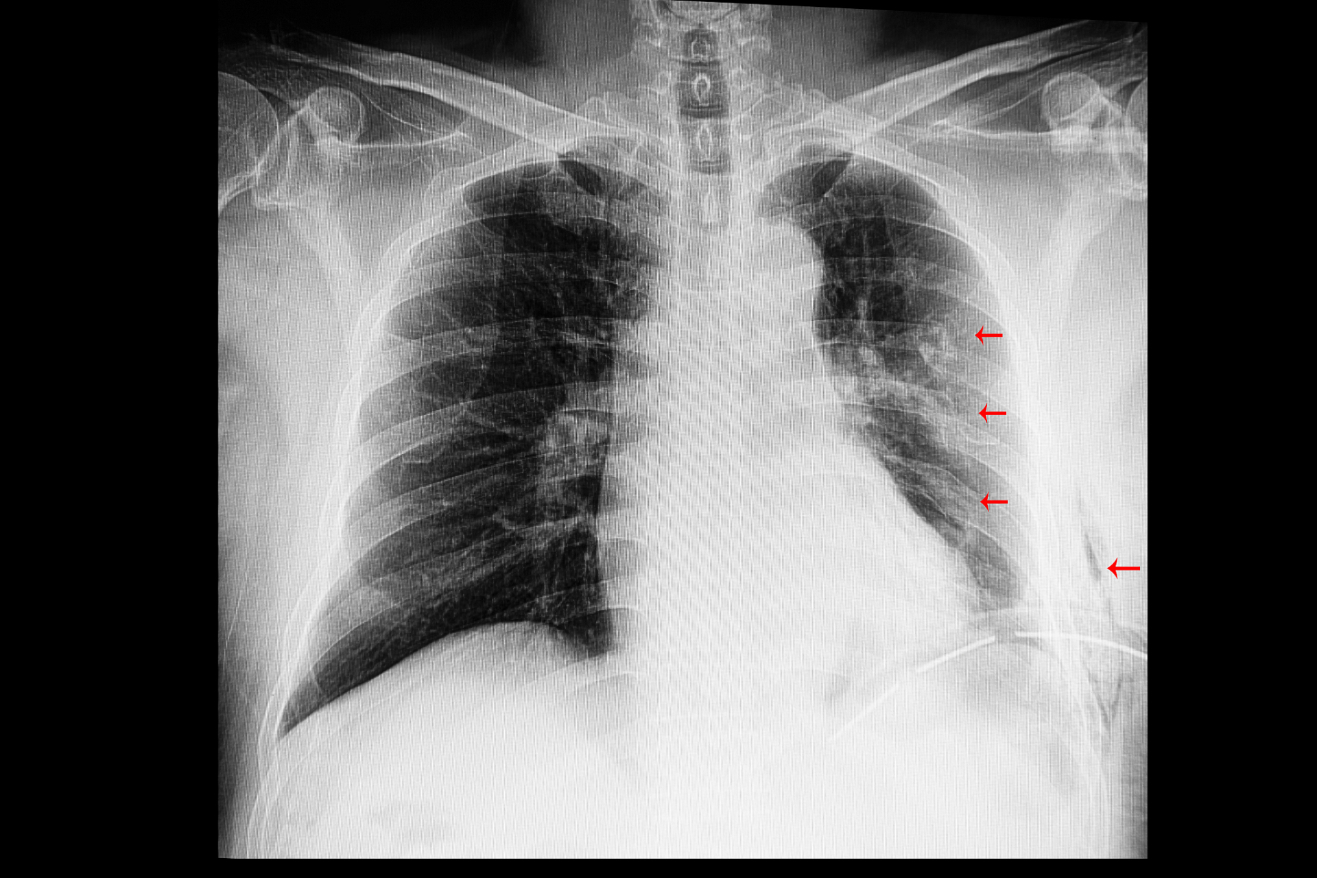
异常x线表现
图片尺寸3072x3882
孕前x线检查是为什么x线检查后一般多久可以怀孕
图片尺寸531x531
x线检查的适应症分析 做x线检查要注意什么?
图片尺寸500x333
dr(数字化x射线)
图片尺寸2983x1968
x光,女性,胸部
图片尺寸525x350
2022年3月22日,印度孟买,一名医生在检查结核病患者的胸部x光片.
图片尺寸1024x683
胸部x光检查:检测乳腺癌的重要性和方法 胸部x光检查是一种常见的影像
图片尺寸1701x1280
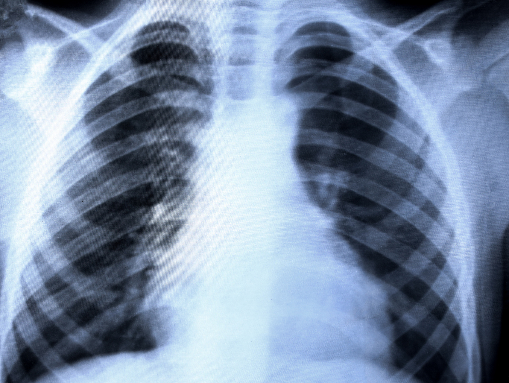
胸部x光检查:优点,缺点和其他影像学检查的比较 胸部x光检查是一种
图片尺寸1925x1280
骨龄检测通过x线影像观察骨骼变化,评估生长发育水平和成熟程度,预测
图片尺寸1787x1280
x线规范化检查 | 胸部左,右前斜位摄影(视频及图文详解)
图片尺寸1080x608
x线规范化检查胸部正侧位摄影
图片尺寸1080x608
如果怀疑有胃下垂,可以通过以下几种检查方法来确诊: x线钡餐造影
图片尺寸1080x1440
x线规范化检查 | 胸部正侧位摄影
图片尺寸1080x608
医生给患者做x光检查
图片尺寸1650x1100
胸部x光检查:检测乳腺癌的重要性和方法 胸部x光检查是一种常见的影像
图片尺寸1920x1280