免疫电镜

免疫电镜技术简介
图片尺寸518x366
果蝇成虫复眼免疫电镜样品的制备及观察
图片尺寸443x463
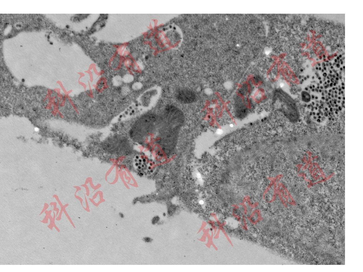
本电镜照片所显示的是艾滋病毒及其所欲感染的免疫细胞.
图片尺寸380x333
免疫电镜技术(immunoelectron microscopy,iem)又称为免疫细胞化学
图片尺寸640x469
图2-2-11 免疫电镜下大鼠中脑-纹状
图片尺寸3161x1616
免疫电镜技术简介及样本准备注意事项
图片尺寸1168x875
sars-cov-2冠状病毒颗粒的彩色透射电镜观察.
图片尺寸800x531
新冠病毒电镜图像首次曝光一起来看看高清彩照
图片尺寸500x549
我刚贴的这幅图,就是一个流感病毒在电镜下的图.
图片尺寸750x585
protocol丨外泌体免疫胶体金电镜经验分享
图片尺寸402x202
赛默飞feiquanta250供应商_美国二手分析仪器feiquanta
图片尺寸1560x1080
利用电镜技术,研究人员们看清了新冠病毒在肠上皮细胞中的生命周期
图片尺寸780x769
淋巴t细胞电镜扫描图.图片来源: niaid/nih
图片尺寸636x636
(图片来源:新西兰皇家学会gerald tannock教授实验室,扫描电镜照片)
图片尺寸579x447
我最近在做大鼠海绵体age(糖基化终产物)的免疫组化.
图片尺寸2088x1560
新冠病毒 "高清彩照" 亮相,美国卫生机构公布病毒电镜图像_腾讯新闻
图片尺寸813x1000
兔圆小囊产溶菌酶细胞的免疫电镜组织化学观察.pdf 4页
图片尺寸814x1169
免疫电镜技术简介及样本准备注意事项
图片尺寸1211x914
人免疫缺陷病毒 1 ,形态和结构 形态:hiv呈球形,直径100~120nm 电镜下
图片尺寸1080x810
图4-继发于 igg4-rd 的 mgn 的免疫荧光电镜.jpg
图片尺寸368x423