槟榔肝镜下图

慢性肝淤血:槟榔肝(镜下)
图片尺寸504x331
槟榔肝
图片尺寸640x413
慢性肝淤血时的槟榔肝.暗红色淤血区表示肝小叶中心区的红细胞积聚.
图片尺寸504x331
槟榔肝
图片尺寸268x197
槟榔肝
图片尺寸1500x2000
总论33 -49 肝淤血(槟榔肝)_病理标本博物馆-复旦大学基础医学院
图片尺寸1888x1263
槟榔显微照片
图片尺寸455x341
槟榔显微
图片尺寸2448x1920
照片名称:肝淤血槟榔肝
图片尺寸600x800
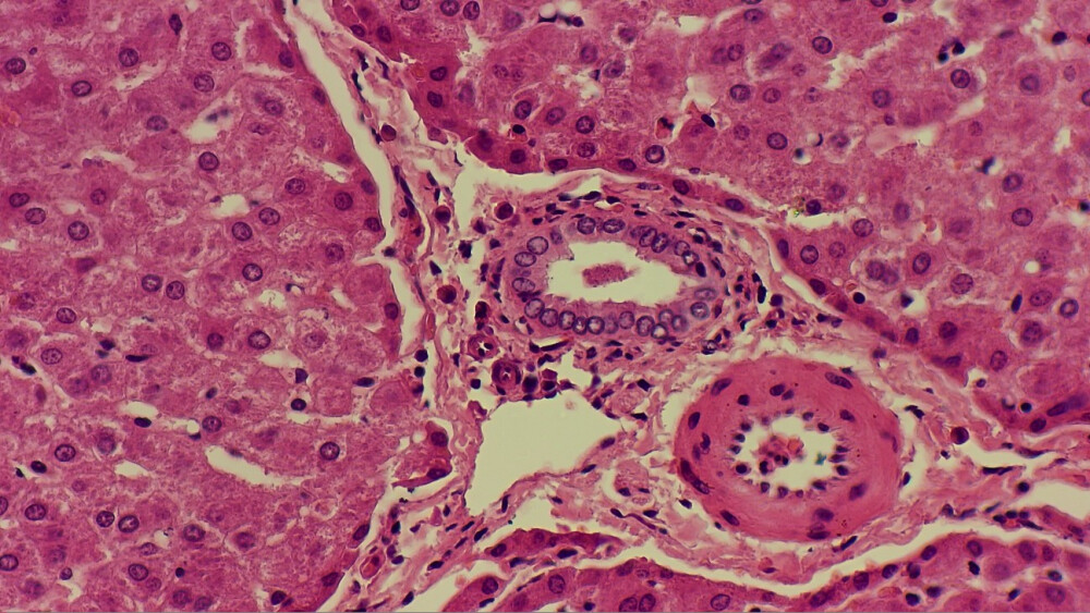
肝门区
图片尺寸1000x563
到底有没有"肝硬化"?我们的患者不能随便背这个锅!
图片尺寸780x585
不同原因肝硬化的病理
图片尺寸2667x2000
到底有没有"肝硬化"?我们的患者不能随便背这个锅!
图片尺寸780x585
病理标本复习答案ppt_word文档在线阅读与下载_免费文档
图片尺寸1080x810
门脉性肝硬化(假小叶中央静脉无或偏位,肝细胞轻度脂变.
图片尺寸469x409
生药学
图片尺寸455x341
不同原因肝硬化的病理
图片尺寸2667x2000
肝硬化食管鳞癌 40x10食管鳞癌4x10 低倍镜蜂窝织炎性阑尾炎18 人赞同
图片尺寸3024x4032
肝组织图片
图片尺寸300x300
谢谢大家!
图片尺寸1280x960