三角区 突起

地震自救不是找活命三角区老实钻桌子吧
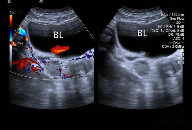
图片尺寸640x451
膀胱三角区乳头状突起你能考虑到这个疾病吗
图片尺寸640x436
杨幂穿牛仔裤勒出三角区,当她转过正面后,网友:老脸都看红了!
图片尺寸750x422
只有1的人才知道的黄金三角区真相
图片尺寸1080x1440
人体十大黄金三角区,养好了,百病不扰全身舒泰!
图片尺寸500x326
救命三角区没有尴尬线的鲨鱼裤上身真绝
图片尺寸1080x1440
膀胱三角区乳头状突起你能考虑到这个疾病吗
图片尺寸999x681
眉心三角区用玻尿酸填充,与调整后的山根高度协调.
图片尺寸1080x617
膀胱三角区乳头状突起,你能考虑到这个疾病吗?_输尿管_超声_声像
图片尺寸1022x706
穿打底裤的美女给人无限遐想,但是三角区的尴尬也是让人烦!
图片尺寸568x887
蔡依林又放飞自我三角区外露的牛仔裤也敢穿网友这叫时髦
图片尺寸1378x1005
神奇的人体三角区养好了百病难扰
图片尺寸880x552
4. 打造眉心三角区
图片尺寸720x835
人的面部三角区由哪几个部位的连线组成?
图片尺寸450x291
面部危险三角区的痘痘不能挤吗面部危险三角区的痘痘为什么不能挤
图片尺寸474x628
苗苗太会玩了,身穿金色亮片裙黑色三角区吸睛,网友:太尴尬!
图片尺寸1080x1240
膀胱三角区乳头状突起你能考虑到这个疾病吗
图片尺寸640x434
宝宝三角区发青图片(宝宝常见疾病整理) - 赤虎壹号
图片尺寸640x480
穿裙子风大也不怕有三角区 - 抖音
图片尺寸1080x1315
165斤这条不规则裤子好好看75不显三角区
图片尺寸1080x1439