上胫腓关节脱位

090519双侧膝关节脱位1 (3).jpg
图片尺寸2576x1932
膝关节脱位-医联
图片尺寸680x510
南靖县中医院骨伤科简介
图片尺寸1600x1200
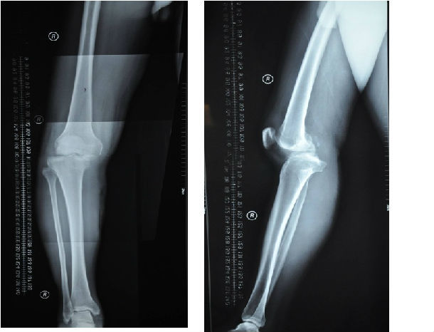
这个膝关节脱位,韧带是否需要重建
图片尺寸639x959
腓骨头脱位,有花送
图片尺寸2816x2112
一例踝关节骨折脱位,大家看看
图片尺寸750x1000
儿童踝关节骨折脱位
图片尺寸3000x4000
踝关节脱位
图片尺寸1600x1200
儿童踝关节骨折脱位
图片尺寸3000x4000
踝关节骨折伴脱位
图片尺寸780x1040
膝关节脱位
图片尺寸937x1297
踝关节开放骨折脱位一例
图片尺寸2048x1536
陈旧性不可复性膝关节骨折脱位的外科治疗
图片尺寸610x466
脱位可见于:距骨的内外侧脱位,距骨后侧脱位.
图片尺寸540x654
驻马店正骨医院代振动院长完成一例罕见的膝关节脱位手术
图片尺寸1008x569
右腓骨骨折伴踝关节半脱位!
图片尺寸1488x1984
不可复位性踝关节骨折脱位一例
图片尺寸564x442
踝关节开放骨折脱位一例
图片尺寸2048x1536
胫腓骨分离
图片尺寸4095x2304
胫腓骨分离
图片尺寸4095x2304