上腹部包块

肚子上方长了个包 摸起来有硬块 碰到就痛! 要不要紧啊 过几天会消
图片尺寸600x450
肚子上起了个包
图片尺寸1440x1080
2014-06-01 赵明 医师 左下腹部有硬块条行的平时没什么感觉不痛按时
图片尺寸2688x1520
腹部中线处肿块怎么诊断
图片尺寸400x300
腹部巨大肿块
图片尺寸2176x3264
肚子上长了一颗这样的东西,黑黑的,像颗痘,但是很长时间了,一月份就
图片尺寸756x1008
肚子上长了一个小豆包,好疼,快生了,能不能不让我这么累,求发动,求
图片尺寸720x1280![【读片】发现左上腹部肿块1天 [病例帖]](https://i.ecywang.com/upload/1/img0.baidu.com/it/u=1790895126,685909037&fm=253&fmt=auto&app=138&f=JPEG?w=500&h=505)
【读片】发现左上腹部肿块1天 [病例帖]
图片尺寸977x987
病例讨论腹部包块你觉得是什么
图片尺寸2816x2112
有人知道这是被什么咬的吗
图片尺寸1080x810
讨论原创又一腹部巨大包块手术结果已经出来见本人的回复附数码相片
图片尺寸1632x1224![上腹部包块待查,有病理(已公布) [病例帖]](https://i.ecywang.com/upload/1/img1.baidu.com/it/u=2332561289,1938831495&fm=253&fmt=auto&app=138&f=JPEG?w=678&h=500)
上腹部包块待查,有病理(已公布) [病例帖]
图片尺寸2456x1812
病例讨论腹部包块你觉得是什么
图片尺寸2816x2112
我院成功用经脐单孔腹腔镜治疗1位盆腹腔巨大包块
图片尺寸1617x2156![【病例讨论】再发腹部包块 [病例帖]](https://i.ecywang.com/upload/1/img1.baidu.com/it/u=4044352182,3409104076&fm=253&fmt=auto&app=138&f=JPEG?w=639&h=426)
【病例讨论】再发腹部包块 [病例帖]
图片尺寸639x426![【讨论】看看这个腹部包块是什么?有病理结果 [病例帖]](https://i.ecywang.com/upload/1/img0.baidu.com/it/u=3251990993,3739574458&fm=253&fmt=auto&app=138&f=JPEG?w=750&h=500)
【讨论】看看这个腹部包块是什么?有病理结果 [病例帖]
图片尺寸2496x1664![【读片】发现左上腹部肿块1天 [病例帖]](https://i.ecywang.com/upload/1/img0.baidu.com/it/u=3115573353,4292116678&fm=253&fmt=auto&app=138&f=JPEG?w=500&h=505)
【读片】发现左上腹部肿块1天 [病例帖]
图片尺寸977x987
宝宝的肚皮上长了3个小包包,很久也没消
图片尺寸1944x2592
腹部巨大肿块
图片尺寸2048x1536
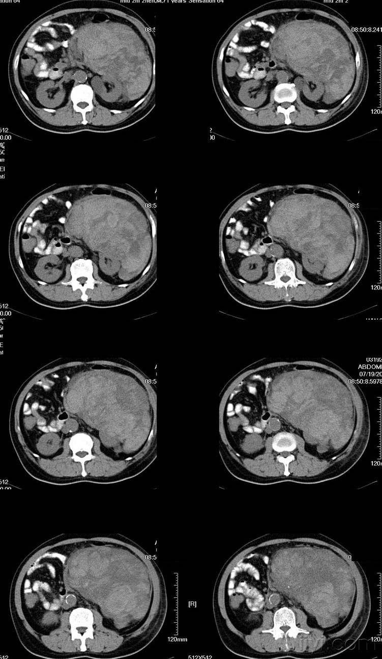
转贴左上腹肿块
图片尺寸751x1293