上门牙多生牙图片

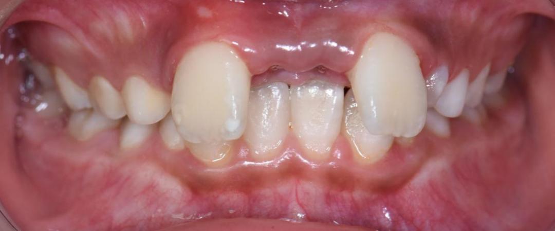
多生牙长出的位置不好应该要拔除吗
图片尺寸684x423
上门牙多生牙图片(上门牙多生牙图片是怎样) | 苏普空间
图片尺寸640x427
右上有多生牙一年多未长出门牙被挤歪里上颚拱出却迟迟不长
图片尺寸768x1024
儿子门牙多生牙埋伏牙终于拔出住院天总计花费一万二
图片尺寸800x800
小朋友两颗多生牙未及时拔除,导致门牙外突,影响美观,口腔问题 - 抖音
图片尺寸951x1691
多生牙是什么?它有什么危害?趁着放暑长假,不如来正牙吧!
图片尺寸1080x449
拔多生牙疼不疼啊,多生牙一定要拔么?
图片尺寸720x408
碰到喜欢玩"潜伏"的多生牙,该怎么办?
图片尺寸640x431
儿童多生牙怎么办
图片尺寸400x268
小孩七岁半,经x光检查上门牙有两颗多生牙未萌出,导致已长出的一门牙
图片尺寸230x408
右上有多生牙一年多未长出门牙被挤歪里上颚拱出却迟迟不长
图片尺寸768x1024![上前牙多生牙修复,各位指点一二 [病例帖]](https://i.ecywang.com/upload/1/img0.baidu.com/it/u=2277412749,1220655748&fm=253&fmt=auto&app=138&f=JPEG?w=499&h=333)
上前牙多生牙修复,各位指点一二 [病例帖]
图片尺寸5185x3457
儿子门牙多生牙埋伏牙终于拔出住院天总计花费一万二
图片尺寸800x800
小时候是多生牙,门牙中间多长一颗,由于当时家庭条件_圈子-新氧美容
图片尺寸360x640
多生牙的疾病治疗
图片尺寸489x275
孩子出现多生牙别慌
图片尺寸520x354
收获多!天津代生孩子"包双胞胎"-第1张图片-西卡博客
图片尺寸640x389
多生牙怎么拔除
图片尺寸680x680
患儿,男,七岁,因门牙间隙过大,拍片发现埋伏倒置多生牙一颗,经cbct
图片尺寸720x394
儿童多生牙什么时候拔合适厦门登特口腔多生牙拔除照片
图片尺寸500x280