上颌多生牙图片

多生牙.跑了那么多医院ct拍了六次终于去除了多生牙,坚强的小 - 抖音
图片尺寸1440x1920
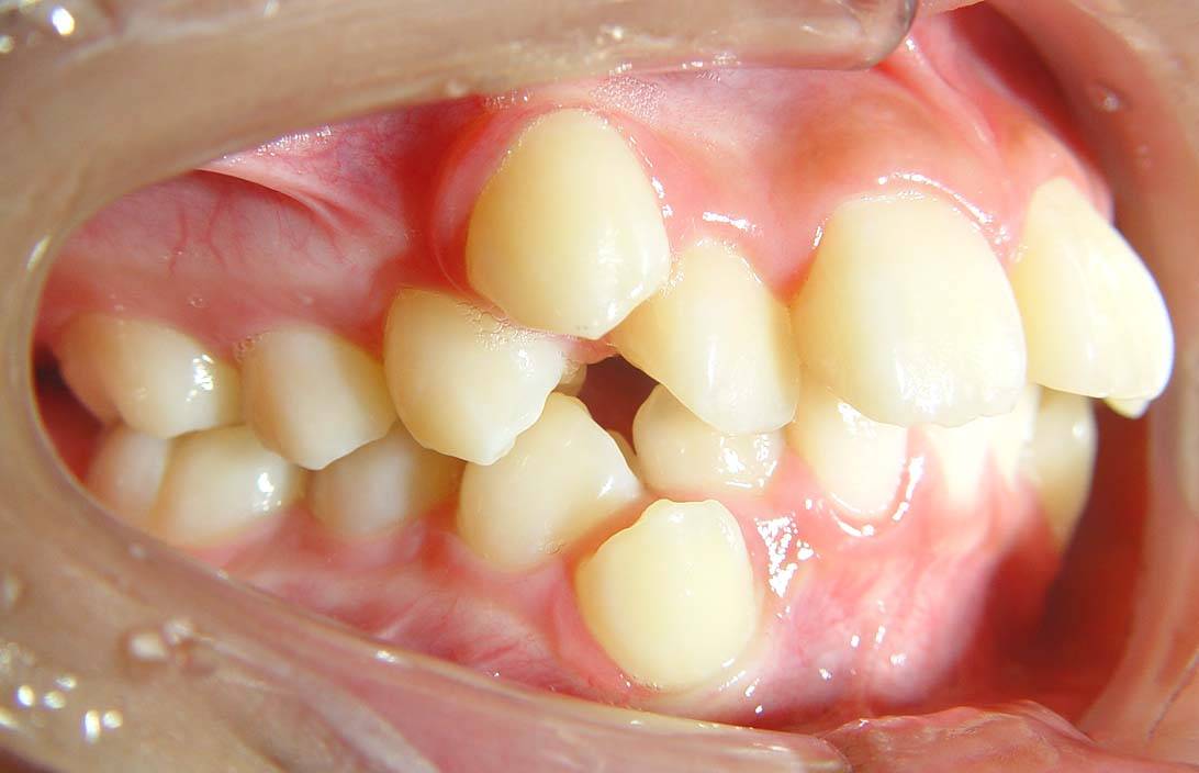
多生牙发生的部位和数目不同,上颌多于下颌.
图片尺寸750x500
今天带去看了牙科,咨询了医生说要拔掉四颗牙😱做矫正还要打两个钉
图片尺寸1440x1920
多生牙一点要重视
图片尺寸1280x959
多生牙知多少
图片尺寸865x446
六岁小朋友的多生牙
图片尺寸1440x1920
多生牙# 哎呀,双排牙这个问题可真的让我头疼不已啊!
图片尺寸1920x1280
五岁时候发现多生牙,虽然已经 - 抖音
图片尺寸1280x1708
多生牙是否一定要拔 在口腔健康的话题中,多生牙无疑是一个令人关注
图片尺寸960x1280
之前看过一个小女孩拔多生牙去世,心里很忐忑,这种牙必须要拔掉吗?
图片尺寸3456x4608
小朋友的多生牙🦷
图片尺寸1920x1440
孩子出现多生牙该怎么办?别慌!闽东医院口腔科为您解惑
图片尺寸1245x934
十天前哥哥刚做完多生牙手术,今天准备去医院拆线,前脚一走
图片尺寸1440x1920
西交口腔完成一例罕见多颗多生牙及阻生牙的口腔治疗
图片尺寸1080x746
根据全口曲断片判断埋伏多生牙位置,探查
图片尺寸1800x1200
邢台资深种植牙专家:多生牙不拔有什么后果?
图片尺寸1092x704
多生牙#
图片尺寸690x1009
局麻与全麻的抉择—微创无痛拔除上颌腭部埋伏多生牙
图片尺寸640x530
门牙长一颗多生牙,是不是不能拔?
图片尺寸607x435
区方塔中医医院口腔科成功拔除一例上颌埋伏多生牙
图片尺寸588x296