上颌窦前壁骨折

左上颌窦前壁斜形骨折:向上累及眶下壁,向下累及上颌窦外侧壁; 额骨
图片尺寸808x752
这个上颌窦骨折需要手术吗?
图片尺寸640x853
右侧上颌窦前壁骨折能评几级伤残
图片尺寸612x816
左侧上颌窦前壁骨折,周围软组织肿胀并皮下气肿.
图片尺寸464x444![【病例讨论】鼻骨,上颌窦骨壁骨折! [病例帖]](https://i.ecywang.com/upload/1/img2.baidu.com/it/u=3869753106,864639497&fm=253&fmt=auto&app=138&f=JPEG?w=815&h=500)
【病例讨论】鼻骨,上颌窦骨壁骨折! [病例帖]
图片尺寸3224x1977
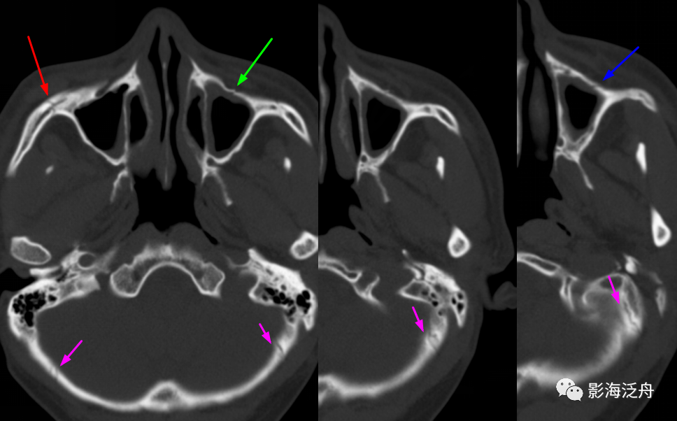
连续层面的第三层左侧上颌窦前壁又显示一透亮线影(蓝箭),这个是骨折
图片尺寸968x602
眼,鼻,上颌窦等的骨折,要慢慢的,小心的看喔
图片尺寸512x512
上颌骨骨折一例
图片尺寸306x408
眼,鼻,上颌窦等的骨折,要慢慢的,小心的看喔
图片尺寸512x512
右侧上额窦前壁骨折,有点上翘,眼睛看东西没有重影,谁知到这个要不要
图片尺寸1052x592![上颌骨骨折 [病例帖]](https://i.ecywang.com/upload/1/img0.baidu.com/it/u=599114806,297592441&fm=253&fmt=auto&app=138&f=JPEG?w=618&h=500)
上颌骨骨折 [病例帖]
图片尺寸1778x1438![上颌骨骨折 [病例帖]](https://i.ecywang.com/upload/1/img0.baidu.com/it/u=1965173705,3766424223&fm=253&fmt=auto&app=138&f=JPEG?w=500&h=375)
上颌骨骨折 [病例帖]
图片尺寸2560x1920![上颌骨骨折 [病例帖]](https://i.ecywang.com/upload/1/img1.baidu.com/it/u=702657691,3931088830&fm=253&fmt=auto&app=120&f=JPEG?w=500&h=324)
上颌骨骨折 [病例帖]
图片尺寸2075x1344
先定个小目标7575今天搞定上颌骨骨折线7575
图片尺寸1080x1439
周云上颌窦前壁粉碎性骨折 或缺席足协杯次回合
图片尺寸571x392
例14上颌骨多发性骨折
图片尺寸934x811![上颌骨骨折 [病例帖]](https://i.ecywang.com/upload/1/img2.baidu.com/it/u=3947060625,3879520048&fm=253&fmt=auto&app=138&f=JPEG?w=500&h=232)
上颌骨骨折 [病例帖]
图片尺寸571x265
颌骨骨折
图片尺寸680x680
上颌窦炎病例
图片尺寸1080x810
2012年3月22日片子同一患者2012年7月15日片子左侧顶骨凹陷骨折小儿顶
图片尺寸563x510