上颌6牙齿的颌面图片

上颌67间两个多生牙
图片尺寸3164x1552
右上颌456缺失
图片尺寸2048x1536
上颌前突 下巴后缩,几岁矫正好? - 知乎
图片尺寸6000x4000
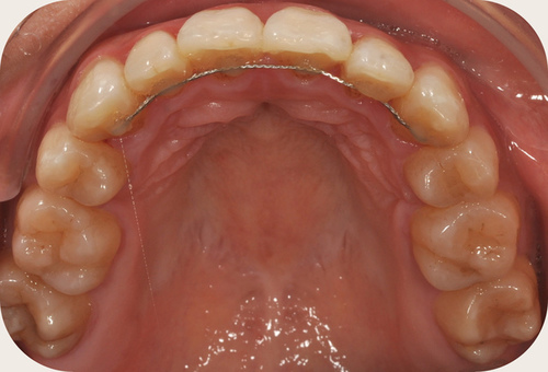
口内上颌照片,帮助医生判断上排牙齿的错位情况以及牙弓形态
图片尺寸1600x1066
图1 上颌前牙区腭侧高位埋伏多生牙拔除术"类m型切口"如果埋伏多生牙
图片尺寸645x429
上颌
图片尺寸300x300
牙齿咬合关系不佳,主要表现为前牙深覆合深覆盖(上下门牙咬合过深及
图片尺寸800x520
牙与颌面密不可分,上排牙齿的牙床是上颌骨的一部分,下排牙齿的牙床是
图片尺寸1080x1482
上颌磨牙解剖形态上6解剖形态经典实用
图片尺寸920x690
郑州瑞士iti种植牙医生刘成龙:上颌磨牙区单颗种植案例 - 知乎
图片尺寸3984x2656
五星高难度复杂案例分享 这位女士的主要问题是牙齿拥挤,上颌有颗虎牙
图片尺寸1002x564
上颌多发埋伏牙的矫治体会
图片尺寸620x499
我院口腔颌面外科医生组织多学科诊疗(mdt),决定为患者进行上颌肿瘤的
图片尺寸400x360
img_2386_副本_副本.jpg
图片尺寸802x537
上颌第一磨牙牙体形态简述.ppt
图片尺寸800x600
牙齿上颌前突图片
图片尺寸800x500
上颌多发埋伏牙的矫治体会--刘军
图片尺寸620x462
dr.chen美学正畸案例##青年口腔医生进阶计划##深圳牙齿矫正
图片尺寸690x690
牙医基础知识:口腔颌面部应用解剖生理 上颌骨与咀嚼功能关系密切
图片尺寸640x410
欧唯贝斯和hermione矫正的故事~~我们把牙齿排整齐了
图片尺寸500x340