上颚下颚咬合不齐

牙齿不齐_牙颌畸形 - 好大夫在线
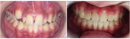
图片尺寸557x452
有没有姐妹下颌骨不对称的,快自闭了
图片尺寸1080x1080
青少年下颌后缩咬合不对位能用隐适美矫正吗从视频看你的牙齿是怎样被
图片尺寸642x644
今年18,大概15岁起有按摩下颌骨的习惯,左右脸不对称,牙齿深覆合下颌
图片尺寸720x977
口腔不良习惯
图片尺寸682x495![【病例讨论】2类,颏部发育不足(有一定代表性) [病例帖]](https://i.ecywang.com/upload/1/img1.baidu.com/it/u=956199912,3881139382&fm=253&fmt=auto&app=138&f=JPEG?w=333&h=500)
【病例讨论】2类,颏部发育不足(有一定代表性) [病例帖]
图片尺寸640x962
口内正面照片,帮助医生判断前面牙齿的错位情况以及咬合关系二,口内
图片尺寸3457x2305
咬合关系不正,下排牙齿前突,正面有点突,侧面下巴后缩,有点骨性造成的
图片尺寸500x667
我下颌骨咬合环节出问题,嘴巴张开会有响声,而且上下牙不吻合
图片尺寸570x761
下面的这则患者主诉:地包天,前牙不能咬合;检查后发现,颏部左偏,颏肌
图片尺寸1080x1439
迎春节送健康哈医大一院口腔正畸专家提示儿童牙齿不齐需要及时矫治
图片尺寸550x166
术前诊断患者术前牙齿咬合度不高,上下牙齿不齐,有几_圈子-新氧美容
图片尺寸1280x960
今天来讲一个关于下半边脸的话题——咬腮帮子大家咬到过吗?
图片尺寸570x320
口腔大揭秘不良咬合的危害与自测
图片尺寸1080x810
我因为牙齿深覆合上颚前排牙齿拥挤,导致嘴凸咬合不齐有点大小脸,有
图片尺寸1080x1439
严重上颌前突下颌后缩畸形
图片尺寸1903x2704
发微博.jpg
图片尺寸824x1600
下巴有些后缩牙齿齐但是上下牙开颌无法咬齐
图片尺寸821x1024
下颌骨不对称 怎么办 好像小时候偏侧咀嚼 现在拿右边吃东西 一年多
图片尺寸960x960
3d262fddgy1gfpiz5khqhj20u00ulanj.jpg
图片尺寸690x1062