上6牙形态图片

牙医妈妈请问一下六岁孩子正在萌出的两颗上门牙各有一块不规则形
图片尺寸632x1024
由于六龄牙的形态和位置特殊,相比乳牙来说,更容易蛀牙.
图片尺寸311x210
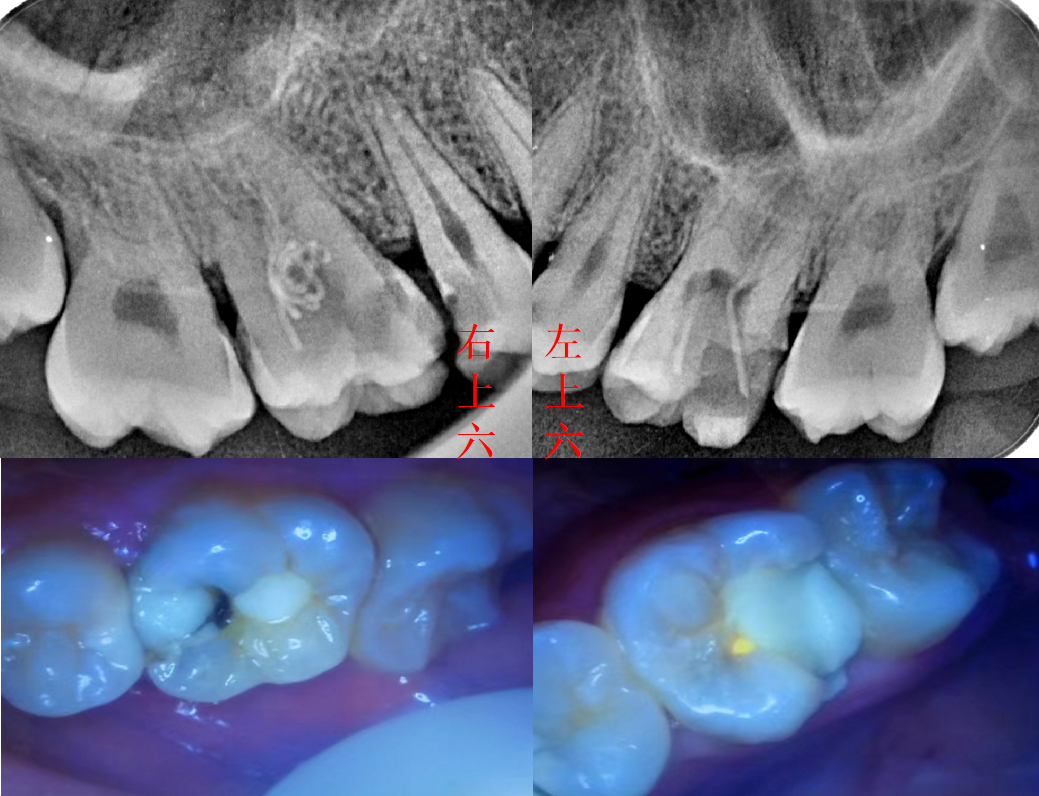
六号牙医 的想法: 左上六号牙,右上六号牙,两颗外院做的根… - 知乎
图片尺寸1039x796
上颌第一磨牙牙体形态简述ppt
图片尺寸1080x810
效果良好,完美的避免了拔除6号牙以后得种植牙或镶牙问题!
图片尺寸992x744
口腔牙体形态图谱
图片尺寸1080x1439
"六龄牙"大家了解一下!——中医院口腔二科
图片尺寸800x600
牙齿的形态图大全
图片尺寸495x754
一颗牙的解剖91上颌中切牙解剖形态特征
图片尺寸720x540
右上缺6号牙智齿正畸能否成功还嘴凸
图片尺寸2048x1536
牙齿的解剖形态图大全
图片尺寸640x928
准备根充,主牙胶尖定位,发现近中根管未找到(为了视觉效果全部片子和
图片尺寸531x443
认识【地包天】 其牙齿形态为下排牙齿包住上排牙齿,下颌前伸, - 抖音
图片尺寸855x522
4,门牙牙齿之间自然形成渐大的外展隙;3,两上前牙长轴,形态左右基本
图片尺寸615x337
黄女士的儿子乐乐今年8岁,班级其他的同学从6岁开始就陆续换牙了,而
图片尺寸514x286
人的28颗牙齿的形态
图片尺寸800x600
牙齿的形态图大全
图片尺寸495x754
牙齿细节图
图片尺寸500x280
(矫正后)青少年智齿未发育完全,随着空间的获得,智齿得到良好的形态
图片尺寸2795x3360
(图1,一般树脂补牙,不注重窝沟牙齿形态,能用就行,图2树脂补牙有恢复
图片尺寸1168x772