下切牙

ii类关系:本文来自ajodo的一个病例报告,介绍了一种压低下切牙方法
图片尺寸800x358
▌切牙主要功能是切割食物;中切牙上下共4颗,侧切牙上下共4颗,加起来8
图片尺寸1080x1082
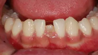
【求助】请教下切牙唇面的奇特现象是什么病?
图片尺寸1600x1200
3个下切牙的病例你如何矫治呢原创
图片尺寸355x290
漂亮女童长出"双排牙"吓坏同学,若不注意这个行为,发病率高达30%
图片尺寸397x225
图2 个别恒中切牙反19导致下切牙异常松动,唇侧牙龈退缩(男,7岁)
图片尺寸945x709
重新定义中切牙宽长比,这里定为87%
图片尺寸600x338
(图) 下颌中切牙
图片尺寸1013x817
磨牙还是维持原样,前后对比:可以看出上下弓形变大,侧貌下切牙微唇倾
图片尺寸640x494
天然牙cej附近的突度在中切牙最强,尖牙次之,侧切牙基本为平坦状态
图片尺寸512x315
磨牙还是维持原样,前后对比:可以看出上下弓形变大,侧貌下切牙微唇倾
图片尺寸640x359
一年的总结杜凡
图片尺寸640x441
拔下切牙矫正
图片尺寸1242x1654
所发挥作用的不同,它们在形态上也有差异,有的以切割食物为主,叫切牙
图片尺寸515x793
磨牙还是维持原样,前后对比:可以看出上下弓形变大,侧貌下切牙微唇倾
图片尺寸640x512
一年的总结杜凡
图片尺寸640x480
磨牙还是维持原样,前后对比:可以看出上下弓形变大,侧貌下切牙微唇倾
图片尺寸640x544
一年的总结杜凡
图片尺寸640x480
安氏Ⅱ类2分类缺失下切牙案例分享
图片尺寸640x306
右下侧切牙右上尖牙右下尖牙右上第一前磨牙右下第一前磨牙右上第二前
图片尺寸900x1327