下前牙图片

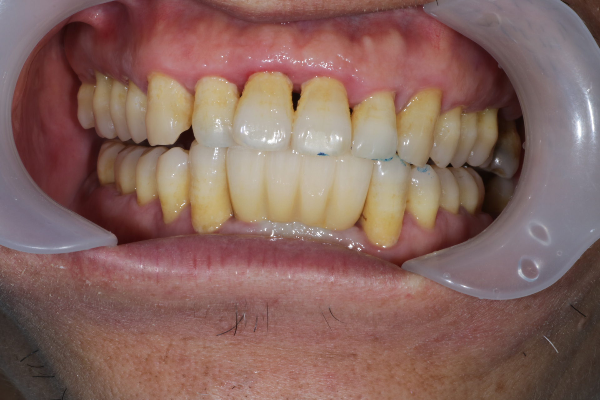
患者是一位五十多岁的大叔,下前牙松动求诊.
图片尺寸1920x1280
下牙的解剖图
图片尺寸500x438
下前牙种植修复一例
图片尺寸3921x2614
闺女的2颗下门牙还是拔了,牙根真长.要打麻药前,眼泪扑簌簌地往下掉
图片尺寸1440x1920
补牙 13岁的小姑娘下牙3m树脂p60 充填,术前术后照片 - 抖音
图片尺寸1920x1440
开颌矫正第一招:压低后牙,前旋下颌_梁爱燕_主治医师_爱问健康
图片尺寸4678x2996
下前牙菌斑性牙龈退缩fgg一例
图片尺寸1223x702
牙龈肿是有龈下结石吗?
图片尺寸500x500
小满时节~来看看这篇牙科科普帖
图片尺寸1000x750
正常人下排牙图片
图片尺寸1242x828
病例分享| 严重松动下前牙成功保留
图片尺寸4096x5460
下前牙种植修复一例
图片尺寸5472x3648
从很小的时候就发现了咬合时下面的三颗牙齿在上牙外,查找了很多 - 抖
图片尺寸1136x875
马里兰桥修复下前牙1例
图片尺寸2944x1968
因为这几种牙齿角度会影响面型!
图片尺寸8001x4501
右下智牙旁的第一颗大牙(智牙上次已掉) 今天,是我五十三岁的
图片尺寸1230x1641
下前牙仅剩牙根
图片尺寸2998x1903
下前牙种植修复
图片尺寸800x533
下前牙种植修复一例 - 知乎
图片尺寸4905x3270
下门牙左右两颗牙长的不一样,有影响吗?
图片尺寸1440x1918