下咽癌手术后图片

下咽癌术后七天 - 好大夫在线
图片尺寸2976x3968
下咽癌术后七天 - 好大夫在线
图片尺寸2609x2569
下咽癌术后七天 - 好大夫在线
图片尺寸2711x2389
吞咽,呼吸困难,在湖南省人民医院确诊为分化型下咽癌
图片尺寸1080x810
探访天津黄河医院安宁疗护病房让生命留爱不留憾
图片尺寸1080x810
下咽癌术后七天 - 好大夫在线
图片尺寸2334x2385
下咽癌
图片尺寸1080x382
下咽癌诊治体会 (原创)
图片尺寸640x480
吃饭卡喉查出下咽癌救命与保留喉咽能两全
图片尺寸372x250
对下咽癌患者行发音功能重建的手术,但是患者发音
图片尺寸905x679
吃饭卡喉查出下咽癌救命与保留喉咽能两全
图片尺寸348x282
喉癌与下咽癌诊断随访的影像学检查价值影像天地
图片尺寸640x480
下咽癌切除颈部淋巴结234区清扫一例
图片尺寸960x1280
上图为柴华主任做下咽肿瘤全切除加颈清扫与发音重建手术
图片尺寸1080x720
经过手术治疗下咽癌患者成功保住了喉功能11天后就能进食说话
图片尺寸640x480
下咽癌诊治体会 (原创)
图片尺寸640x887
下咽癌切除颈部淋巴结234区清扫一例
图片尺寸1280x960
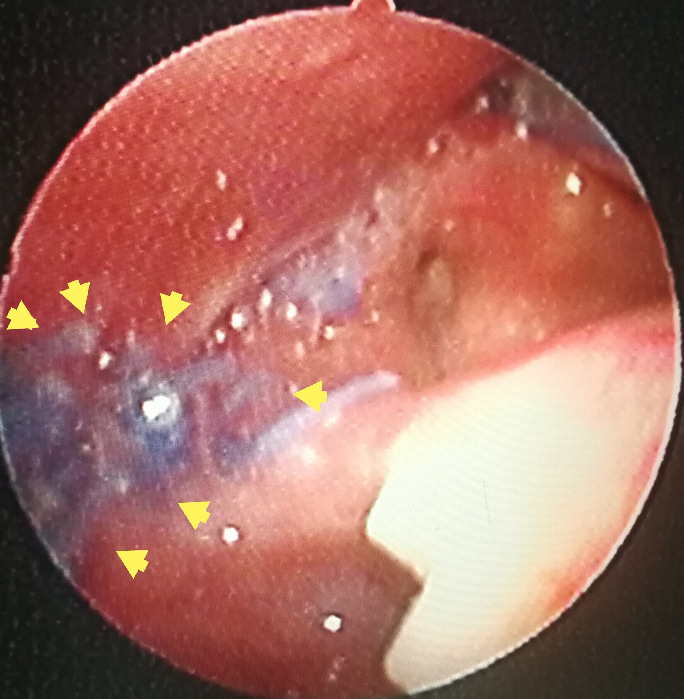
窄带成像内镜:鼻咽喉部肿瘤诊断的"照妖镜" - 好大夫在线
图片尺寸1600x1042
46岁下咽癌患者成功保住了喉功能 术后11天开口讲话进食
图片尺寸531x383
下咽癌切除 颈部淋巴结2,3,4区清扫一例
图片尺寸640x480