下巴后缩x光

下颌后缩
图片尺寸1804x2148
下巴后缩ct侧面照
图片尺寸1080x1439
一下x光片,见证奇迹的时刻,下颌发生的逆时针旋转,让你的下巴"长"出来
图片尺寸2051x1502
深受下巴后缩困扰,各路神仙请赐教!
图片尺寸720x540
隐适美开个贴记录一下持续更新2131322113
图片尺寸1080x969
来评价成都马泷齿科用隐适美牙套治疗骨性下巴后缩的效果好吗
图片尺寸752x550
下巴后缩想正畸
图片尺寸1080x1232
开唇露齿 下巴后缩 | 隐适美骨性前突案例
图片尺寸774x456
下巴后缩是骨性的,先天发育不好.
图片尺寸1080x810
杭州赵陈皖入选隐适美全球案例库病例突嘴下巴后缩
图片尺寸1080x600
骨性下颌骨后缩,也就是没有下巴,不仅会影响一个人的_圈子-新氧美容
图片尺寸570x357
矫正前后x光片对比
图片尺寸882x872
从他的照片和x光片可以看出面型是明显的上牙突出,嘴巴突出,下巴后缩
图片尺寸1574x521
露笑龈双颌前凸下巴后缩正颌手术二次矫正
图片尺寸570x571
嘴突下巴后缩是需要正畸还是正颌为什么有些人正畸后下巴改变会那么大
图片尺寸959x390
说以我的骨骼还可能反弹,补一个颏成型效果在图三#正颌 #下巴后缩
图片尺寸1080x1439
脸变长,下巴缩进去 生孩子后脸型为何变丑
图片尺寸500x374
不用削骨正畸就可以让你的颜值走向巅峰
图片尺寸800x508
牙齿矫正 特意收了收下巴,不会收的太过吧04不知道对数据是否有
图片尺寸1080x810
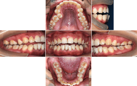
对齐中线,面型更柔和,侧貌更立体,前突问题完全解决,下巴也变得更翘
图片尺寸3481x2270