下排牙齿不齐图片

牙列拥挤矫正多少钱 牙列拥挤如何矫正 牙齿拥挤矫正 牙齿拥挤不齐
图片尺寸750x672
我下面这排有4颗牙齿不齐,可以矫正或者有什么办法搞齐吗?
图片尺寸441x303
小自由大幸福:24岁了,下面有几颗牙齿不齐很难看,还能做矫正吗?
图片尺寸720x1280
我今年30岁,女!牙齿从小缺陷,下排牙有4颗牙齿没长,所以缝隙越来越
图片尺寸600x800
我的下排牙齿又凌乱又拥挤以前糙愣是没觉得有什么这一两年不知怎么就
图片尺寸570x379
牙不齐(倾斜,拥挤)是怎样的体验?
图片尺寸640x480
下牙不齐,上牙很齐但是有点外突,如下图,请问如果矫牙的话,需要拔牙吗
图片尺寸375x500
贝致社区 牙套日记 > 矫正前的牙齿状况 下排门牙有两颗凹进去,不齐
图片尺寸1024x1024
牙齿高低不平挺明显的跟医生说了她说没问题这样没问题嘛还是应该继续
图片尺寸2320x3088
下排牙齿不齐
图片尺寸400x322
9岁下牙不齐需要整牙么?
图片尺寸850x920
我的下排牙齿又凌乱又拥挤以前糙愣是没觉得有什么这一两年不知怎么就
图片尺寸570x379
牙不齐是一种怎样的体验?
图片尺寸600x580
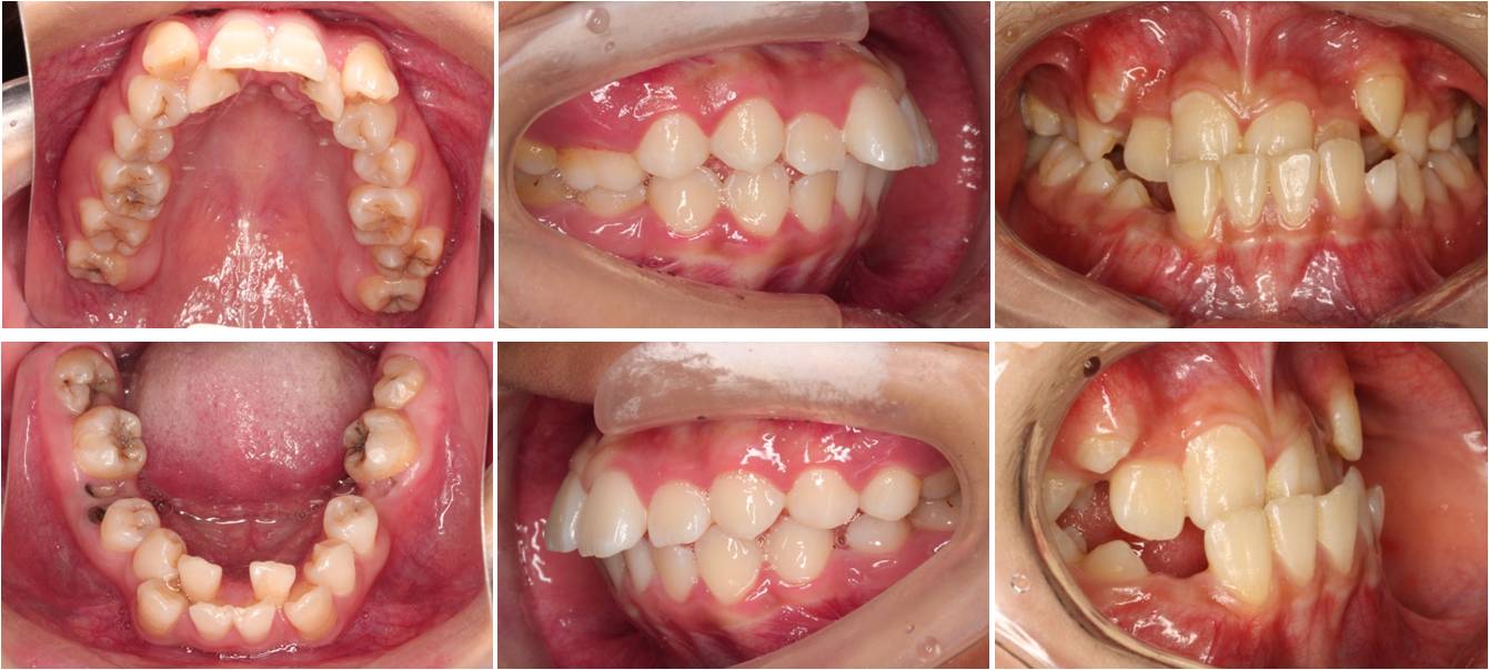
顾客牙齿拥挤,牙列不齐
图片尺寸1712x1284
下面一排牙都没有肉了 都可以看到牙根 用手摸感觉凹下去了 是为什
图片尺寸450x600
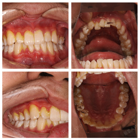
这位患者下牙牙齿歪斜,影响咬合功能
图片尺寸1280x960
我的牙齿问题主要就是下排牙不齐,有些下兜齿,牙齿问_圈子-新氧美容
图片尺寸570x569
此外,牙列不齐也可能造成咬合关系错乱,直接影响咀嚼效率,牙齿异常
图片尺寸500x375
牙槽骨排不下那么多牙,牙齿就会长得里出外进,很不整齐.
图片尺寸433x355
简单的说就是,有限的颌骨大小不足以整齐的排下那么多的牙了,牙齿要么
图片尺寸1341x604