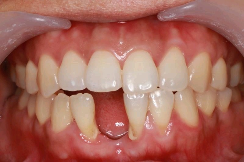
下门牙照片

门牙下面这个位置缺了,有点儿影响门面,说话都不敢太_圈子-新氧美容
图片尺寸800x533
五颗好的下门牙全毁了
图片尺寸1440x1080
该怎么办!是因为低头咬包子的时候被上门牙硬生生咬松的!
图片尺寸600x800
我的下门牙帮我看看
图片尺寸768x1024
昨天吃饭的时候门牙不知为何下门牙内侧裂了一半不知道是不是被蛀了
图片尺寸500x546
【正畸第三次复诊】
图片尺寸744x744
天生下门牙少两个.我既然才发现.你们遇到过吗. 她爸下面是三 - 抖音
图片尺寸1440x1920
宝宝下面门牙牙缝靠近牙根的地方有黑点,有点凹,牙缝可以补吗?
图片尺寸2001x1125
赵医生您好,我家小孩5岁9个月,下门牙长得位置不正,靠口腔里面,请问赵
图片尺寸554x350
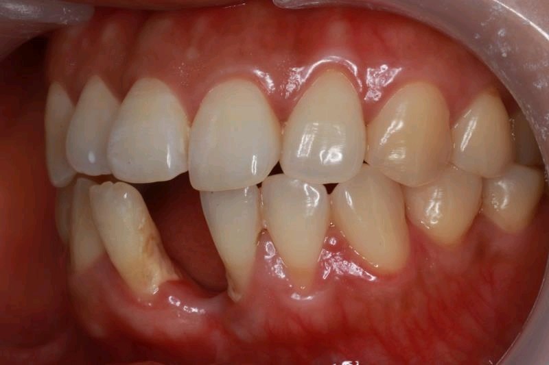
门牙下面这个位置缺了,有点儿影响门面,说话都不敢太_圈子-新氧美容
图片尺寸800x533
天生下门牙少两个.我既然才发现.你们遇到过吗. 她爸下面是三 - 抖音
图片尺寸1440x1920
下牙缺失 - 好大夫在线
图片尺寸1600x1073
从大学开始我就有牙周炎,下门牙的牙龈肿大,刷牙时干_圈子-新氧美容
图片尺寸1280x960
今天早上发现下门牙根尖缺了一块,这是怎么回事,跪求解答,是不是跟我
图片尺寸584x1040
我的下牙有点歪 是什么原因啊
图片尺寸612x816
左下第一磨牙掉了一部分(靠内侧掉了两瓣,大约占
图片尺寸600x800
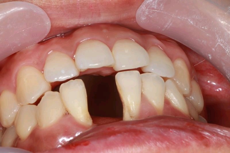
门牙下面这个位置缺了,有点儿影响门面,说话都不敢太_圈子-新氧美容
图片尺寸800x533
从大学开始我就有牙周炎,下门牙的牙龈肿大,刷牙时干_圈子-新氧美容
图片尺寸1280x960
问:下排智齿已经完全长出了,位置向里斜,下排一个门牙受到挤压,稍微
图片尺寸600x800
小孩十一岁了,下牙掉了在长牙,可是门牙去年裂开,医生建议十八岁才能
图片尺寸768x1024