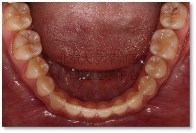
下颌牙列

下牙列牙颌面照片
图片尺寸671x464
牙齿缺失的危害有什么
图片尺寸600x398
矫正后:口内下颌牙齿排列整齐.
图片尺寸640x426
澳大利亚最神秘的案件全纪录:萨莫顿海滩男尸(下)
图片尺寸500x438
下颌牙列照
图片尺寸1080x795
天津牙齿矫正对于下颌后缩深覆合牙列拥挤的隐形矫正方案
图片尺寸1280x1080
下颌恒牙(上面观)
图片尺寸1498x978
牙列重度拥挤的改善
图片尺寸1822x1989
种类和排列根据牙的形状和功能切牙尖牙磨牙乳牙 20个,上,下颌各10个
图片尺寸1080x810
解剖课件-消化系统ppt
图片尺寸1080x810
她的牙列拥挤应该如何矫治原创
图片尺寸600x445
21个月告别牙列不齐,笑口迎接未来人生 - 贝致案例
图片尺寸1000x900
术前下颌牙列 术后下颌牙列术前头颅侧位片显示下颌
图片尺寸401x273
小菇凉还是不错的,姐姐因为下颌后缩 牙列.
图片尺寸690x457
隐形矫治解决半侧反颌伴下颌偏斜一例
图片尺寸820x606
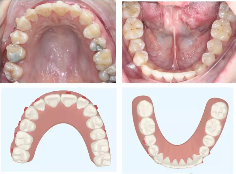
口内检查:1,上,下颌中线正中,上下前牙舌倾,笑线不调.
图片尺寸1301x1080
花式正畸:多技能结合治疗的一副下排牙.
图片尺寸1280x1280
通过患者口内和x光片综合分析
图片尺寸1920x1080
列拥挤和冠周炎的重要原因,还有一些阻生牙是颞下颌关节紊乱病的病因
图片尺寸1080x896
成都整牙内倾型深覆合重度牙列拥挤先天缺失下颌中切牙散在间隙
图片尺寸1500x1500