下颌第二前磨牙

右下第二前磨牙
图片尺寸640x891
下颌第二磨牙萌出前冠内吸收一例_医学资讯_大夫e站
图片尺寸493x562
口腔前磨牙解剖形态ppt
图片尺寸1080x810
下颌恒牙(上面观)
图片尺寸1498x978
牙体解剖12下颌第二前磨牙
图片尺寸353x317
牙体解剖12下颌第二前磨牙
图片尺寸369x534
正在关闭的下颌第二前磨牙拔牙间隙原创武广增
图片尺寸500x354
左侧上下第二前磨牙缺失一例
图片尺寸600x600
正在关闭的下颌第二前磨牙拔牙间隙原创武广增
图片尺寸500x386
正在关闭的下颌第二前磨牙拔牙间隙原创武广增
图片尺寸500x357
智齿的解剖学正规名称为"第三磨牙",因在人的智力发育旺盛时期(平均为
图片尺寸720x1560
下颌第二磨牙形态-绘图 下颌第二磨牙形态(五尖型) 1.近中沟 2.
图片尺寸1824x1280
正在关闭的下颌第二前磨牙拔牙间隙……(原创)--武广增
图片尺寸500x352
下颌第二磨牙萌出前冠内吸收一例_医学资讯_大夫e站
图片尺寸490x560
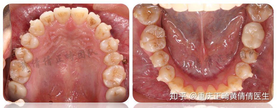
前突伴下颌第二磨牙缺失的隐形矫治病例
图片尺寸930x364
正在关闭的下颌第二前磨牙拔牙间隙原创武广增
图片尺寸500x369
前突伴下颌第二磨牙缺失的隐形矫治病例
图片尺寸1080x430
1,iv早失需要做间隙保持,切牙早失不需要 2,当第一恒磨牙尚未萌出
图片尺寸800x539![[临床解剖学要点]下颌第二前磨牙与下颌第一前磨牙有同样的特点,牙冠](https://i.ecywang.com/upload/1/img1.baidu.com/it/u=354340848,2219429988&fm=253&fmt=auto&app=138&f=JPEG?w=1130&h=500)
[临床解剖学要点]下颌第二前磨牙与下颌第一前磨牙有同样的特点,牙冠
图片尺寸1647x729
16周岁 第二磨牙松动 痛 要不要拔 镶牙可以吗 价格怎么样
图片尺寸754x1008