下齿龈

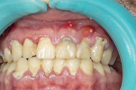
你好请问下牙是牙龈萎缩吗是什么原因引起的呢如果是的话要怎
图片尺寸2592x1936
什么程度需要龈下刮治牙龈炎多严重才需要龈下刮治
图片尺寸856x626
什么是龈下刮治
图片尺寸640x480
麻烦求解答谢谢.
图片尺寸450x338
这是什么情况?
图片尺寸520x311
妊娠期牙龈炎的防治
图片尺寸680x453
齿龈肥厚
图片尺寸268x197
龈下刮治真不疼亲历经验牙周病克星不可怕很温柔
图片尺寸277x211
菌斑牙图片
图片尺寸450x300
【讨论】可以帮我看下这是口炎还是牙龈炎吗?
图片尺寸1080x1440
我这有牙龈炎吗.
图片尺寸375x500
云南中西医结合医院—要怎样治疗牙龈炎_腾讯新闻
图片尺寸1000x666
新都华圣艺口腔医院科普为啥牙龈炎早期时不能及时被察觉
图片尺寸554x320
齿龈肿胀
图片尺寸300x220
艾滋病初期下齿龈症状图片
图片尺寸716x500
孕妇牙龈炎怎么治疗?
图片尺寸474x355
今日图片:齿龈铅线
图片尺寸1381x1107
牙齿全断了,每颗牙齿只留了残根怎么治啊?有专家可以帮助解答的吗?
图片尺寸400x269
牙周炎状态下的牙龈:红肿,渗血,龈乳头肿胀
图片尺寸600x400
原创我只是洗个牙为啥医生让我做龈下刮治
图片尺寸1080x977