不能补的牙齿图片

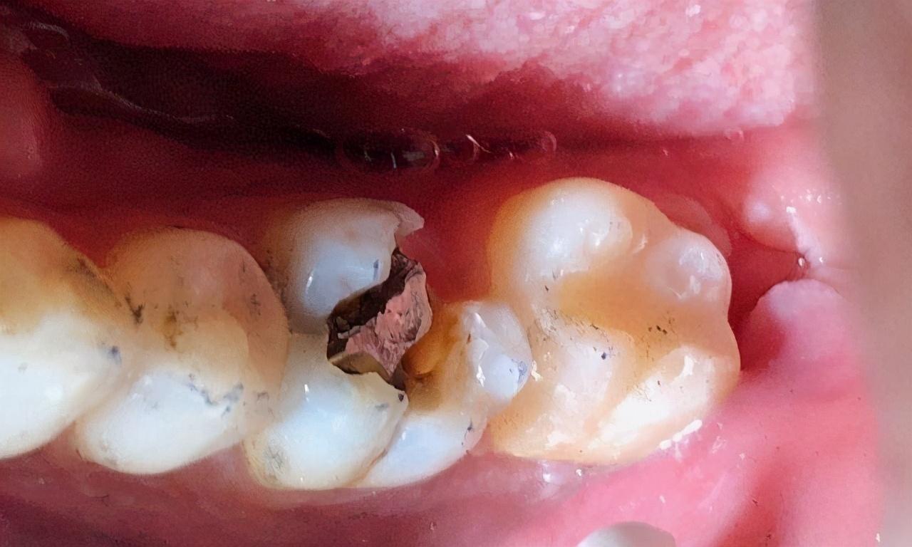
牙齿一颗接一颗烂掉,基本上所有牙齿都是补过的,还拔了两颗,但 - 抖音
图片尺寸720x1560
牙烂成这样还能补吗?
图片尺寸768x1024
如果等到牙齿疼的时候再来看,那估计已经不适合补牙了,可能就要做根管
图片尺寸1380x918
小朋友一定要每天刷牙,使用牙线,要保护好牙齿哦
图片尺寸3840x2160
为什么牙齿本来不痛,补完牙齿后反而开始疼痛了?-图3
图片尺寸1280x768
牙齿坏了不想补?别让懒惰害得你花冤枉钱!
图片尺寸450x276
牙齿掉了一直不补会怎么样
图片尺寸385x303
蛀牙修复多少钱一颗你们补一颗牙齿花了多少钱
图片尺寸1080x810
牙齿烂了一半是补还是拔掉?正确改善方案这里有!
图片尺寸400x480
牙洞真的会越补越大吗
图片尺寸600x450
重庆市里补牙一般需要多少钱?
图片尺寸346x188
您的牙齿龋坏在这个程度的,可以不用补了!(对照自查)
图片尺寸640x360
我想问下普宁补个牙和拔个智齿需要多少钱啊?
图片尺寸500x359
牙齿龋坏补过牙,也是可以做牙齿矫正的!
图片尺寸1152x720
蛀牙坏到不能补,在不拔牙的情况下怎么变成新牙?
图片尺寸1728x1080
如果你的蛀牙到这种程度了,就不能靠补牙拯救了!_牙齿
图片尺寸1080x1245
满口蛀牙补了很多牙是种怎样的体验? - 知乎
图片尺寸2560x2560
牙齿破了一个洞,是补?还是拔?还是任其发展?血的教训!
图片尺寸610x482
牙齿烂了是该补牙还是拔牙?-龋齿-苏州牙博士口腔连锁
图片尺寸350x205
牙齿烂了一半该补还是该拔呢?
图片尺寸1080x1440