丘脑出血

右侧丘脑出血1例
图片尺寸3264x2448
一箭双雕丘脑出血经侧脑室穿刺
图片尺寸1080x1080
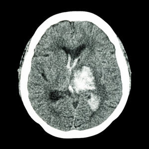
丘脑出血破入脑室 - 好大夫在线
图片尺寸3000x4000
丘脑出血show
图片尺寸3508x2480
丘脑出血
图片尺寸500x375
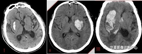
特殊的丘脑出血破入脑室一例病例汇报
图片尺寸4032x3024
特殊的丘脑出血破入脑室一例病例汇报
图片尺寸4032x3024
脑出血的部位 (1)壳核出血 (2)丘脑出血 最常见,约占 脑出血的60% ~65
图片尺寸1080x810![丘脑出血所致的眼偏斜反应1例 [病例帖]](https://i.ecywang.com/upload/1/img0.baidu.com/it/u=1823881664,1347455832&fm=253&fmt=auto&app=138&f=JPG?w=889&h=500)
丘脑出血所致的眼偏斜反应1例 [病例帖]
图片尺寸1269x714
【病例讨论】一例丘脑出血,近两个月艰苦的治疗,感兴趣的进来交流一下
图片尺寸2592x1944
性卒中ct脑:左侧丘脑出血(出血性卒中)照片
图片尺寸300x300
丘脑出血治疗方式的选择_脑出血_脑出血治疗方式 - 好大夫在线
图片尺寸3968x2976
丘脑出血,请教一下治疗和判断愈后
图片尺寸546x546
丘脑出血
图片尺寸380x336
齐立军,右侧丘脑出血
图片尺寸3024x4032
患者:图红岩,男,40岁,右侧丘脑出血,呈中度昏迷状态
图片尺寸2000x2667
丘脑出血治疗方式的选择_脑出血_脑出血治疗方式 - 好大夫在线
图片尺寸1921x3265
王隆新,男,50,右侧丘脑出血破入脑室
图片尺寸2000x2666
特殊的丘脑出血破入脑室一例病例汇报
图片尺寸4032x3024
不同部位脑出血的表现_动脉_artery_分支
图片尺寸498x189