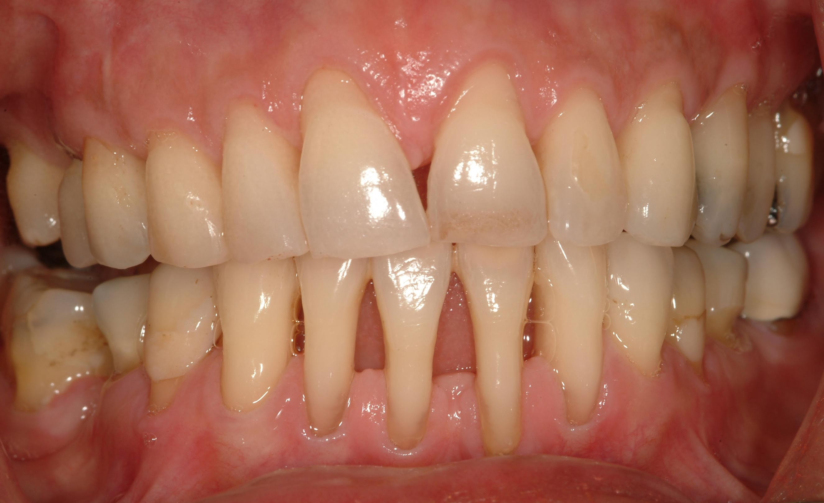
严重牙龈萎缩

牙龈萎缩不用愁,对症下药全搞定!
图片尺寸1080x1410
"作为口腔科常见问题,牙龈萎缩虽不可逆,但通过科 牙龈萎缩最严重图片
图片尺寸1200x1600
牙龈萎缩"摆烂"太严重,别慌!这份急救攻略请查收!
图片尺寸1200x1600
牙龈萎缩怎么办?这些方法你一定要知道!
图片尺寸1080x1411
牙龈萎缩不用愁,这些牙膏来帮忙!
图片尺寸1080x1410
牙龈萎缩的简单解决方法,快来试试吧!
图片尺寸1164x1491
牙龈萎缩不用慌!试试这个方法,效果惊人!
图片尺寸1248x1572
牙龈萎缩,这个看似不起眼的问题,却可能给我们的口腔健康带来大麻烦
图片尺寸960x1280
牙龈萎缩vs正常牙龈,看看你是哪种?
图片尺寸957x1280
牙龈萎缩的治疗方法有哪些?
图片尺寸960x1280
牙龈萎缩是许多人悄悄面临的牙齿健康问题,它会让
图片尺寸1862x2490
揭秘:牙龈萎缩严重吗?
图片尺寸1200x1600
这位阿姨的牙龈萎缩有点严重,今天也是奔着我们的益生菌和牙膏来
图片尺寸2160x3838
终于上岸了牙龈萎缩刷到这篇码住不删
图片尺寸1080x1440
在日常生活中,我们可能会忽视口腔的一些细微变化,但牙龈萎缩却是一
图片尺寸1242x1660
一颗牙齿的牙龈萎缩
图片尺寸1600x2133
牙龈萎缩,简单来说,就是牙龈缘向牙根方向退缩,导致牙根暴露
图片尺寸1200x1600
年轻人牙龈萎缩问题频发及预防策略
图片尺寸2652x1622
牙龈为什么会萎缩还有救吗
图片尺寸936x624
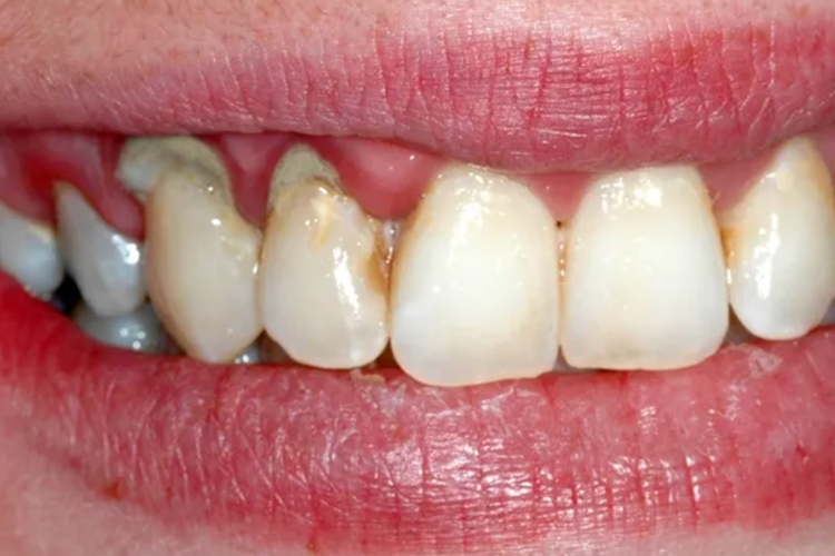
但上颌磨牙的腭根面也较易发生严重的牙龈萎缩
图片尺寸750x500