中动脉内弹性膜

内膜:有明显的内弹性膜
图片尺寸946x704
外膜:疏松结缔组织;有营养血管,分支进入中膜很厚,40 ~ 70层弹性膜
图片尺寸957x702
动脉: 内膜:内皮由内皮细胞,内弹性膜组 成,内皮下层较薄,内含有
图片尺寸1080x810
组织胚胎学精品教学(温州医科大学)36学时实验四.ppt
图片尺寸1152x864
中动脉
图片尺寸1080x810
肌肉动脉的内膜层薄,内部弹性膜层发达,厚达四十层的肌肉壁.
图片尺寸640x478
这三层膜本来是紧密贴合在一起的,但对于周先生来说,他的主动脉内膜
图片尺寸594x524
2010ppt vein return the blood to the heart 与同级别动脉的比较 1
图片尺寸1080x810
he染色10×20) 中动脉的内膜由内皮(↓),薄的内皮下层,内弹性膜(↑)
图片尺寸487x272
一,微小血管结构: 一般结构: 内膜:内皮,内皮下层 中膜:平滑肌,弹性
图片尺寸1080x810
内膜(tunica intima)由内皮,内皮下层和内弹性膜组成,是三层中最薄的
图片尺寸554x196
(图10-4中动脉横切he x400)(四)血管壁的营养血管和神经管径1 mm以上
图片尺寸569x365
心血管医用材料的研究现状
图片尺寸600x333
1组胚实验09
图片尺寸1080x1080
具有弹性,有收缩/舒张功能,动脉越大,肌肉层越厚,血管弹性越好;外膜
图片尺寸298x266
结构……166小动脉……266小静脉……366大动脉特征性结构:中膜
图片尺寸1080x1439
中膜:较厚的一层,由 弹性组织构成,有弹性.
图片尺寸1080x810
(2)各种动脉的结构 特点 大动脉:弹性动脉, 中膜内含有多层弹性膜和
图片尺寸1080x810
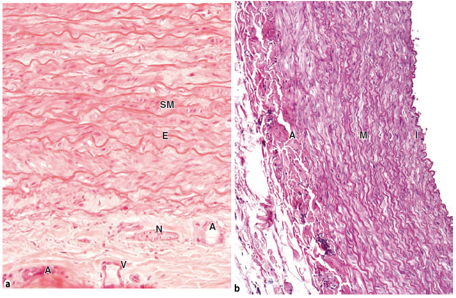
图8-4大动脉(大动脉横切 he染色10×10) 大动脉的内膜(a)的内弹性膜不
图片尺寸487x292
内皮下层为疏松结缔组织,有内弹性膜
图片尺寸913x596