中华05骨龄标准图

《中国人手腕部骨龄标准--中华05及其应用》内容
图片尺寸757x1079
中华05标准是国家行业标准,相对国外标准图谱法等旧标准,骨龄鉴定还是
图片尺寸1575x2100
中国人手腕部骨龄标准中华05及其应用
图片尺寸671x800
骨龄测评你真的都搞定了吗
图片尺寸640x902
可以帮您看看中华05骨龄74又困惑的家长来吧
图片尺寸1080x1102
一分钟图解中华05标准chn法tw3法骨龄鉴定原理与重要性
图片尺寸620x419
但是想要知道孩子还能长多高的话,还需要通过中华05判断骨龄来知道
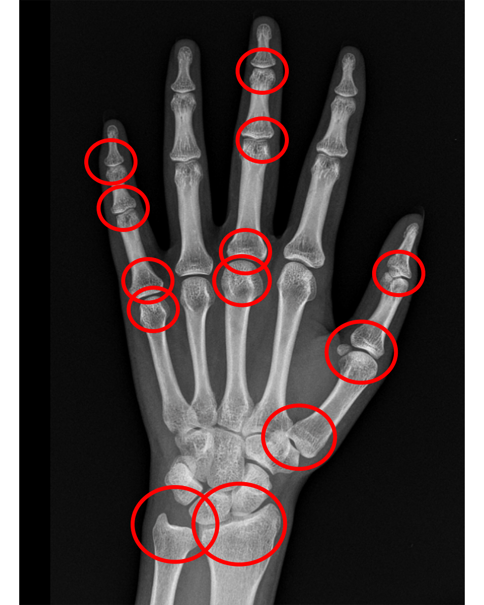
图片尺寸982x1226
中华05测骨龄
图片尺寸1080x1439
鉴定分析:中华05标准鉴定数据为14.2岁骨龄.
图片尺寸640x814
用中华05计分法看骨龄避免误差
图片尺寸959x1279
3米,偏矮,怎样才能长高?
图片尺寸1080x1091
生长发育科徐永剑所长
图片尺寸360x480
骨龄图
图片尺寸750x1248
《中国人手腕部骨龄标准--中华05及其应用》内容
图片尺寸756x1387
正常男性骨龄图谱影像诊断
图片尺寸600x450
骨龄怎样计算?
图片尺寸1976x1436
铜川去医院看骨骺线要多少钱
图片尺寸600x664
淘宝店中华05骨龄分析
图片尺寸1071x1428
图女孩8岁骨龄片骨龄片怎么看中华05骨龄标准图中华05骨龄对照图男孩
图片尺寸1080x1440
骨龄鉴定中图谱法与中华05标准的常见问题浅谈
图片尺寸720x836