中度牙周炎

中度牙周炎治疗病例
图片尺寸400x300
中度牙周炎治疗病例
图片尺寸412x245
1/20牙周炎
图片尺寸500x375
中度牙龈炎
图片尺寸1080x810
牙周袋深出血中度牙周炎龈下刮治一例
图片尺寸5000x3333
重度牙周炎的治疗过程和费用问题(亲历自述)
图片尺寸720x390
牙周对比牙周炎一般可以分为轻度,中度和重度.
图片尺寸933x341
科室动态 ▏中华口腔医学会2022年西部行活动走进市三院_牙齿_牙周
图片尺寸652x434
慢性牙周炎症状略轻图片
图片尺寸1200x803
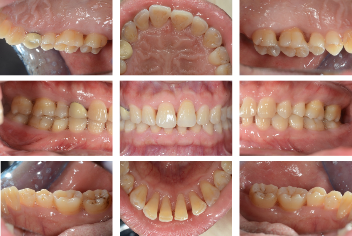
55岁牙周炎男性的临床照片
图片尺寸400x265
重度牙周炎怎么治疗?
图片尺寸420x261
大埔区牙周炎专家_大埔区治疗牙周炎哪个专家好_大埔区治疗牙周炎最好
图片尺寸743x400
患者慢性牙周炎图片
图片尺寸800x500
牙周袋深出血中度牙周炎龈下刮治一例
图片尺寸5000x3333
牙周病引发心脏病不要被它夺去生命
图片尺寸973x610
孕期重度牙周病
图片尺寸640x426
牙疼痛了三天了,这是上火还是牙周炎呀
图片尺寸4095x2304
牙周炎有哪些危害
图片尺寸600x600
慢性牙周炎根尖图片
图片尺寸689x500
牙周病的临床表现
图片尺寸695x310