中性杆状粒细胞

中性杆状核粒细胞 06
图片尺寸650x484
中性杆状核粒细胞
图片尺寸545x480
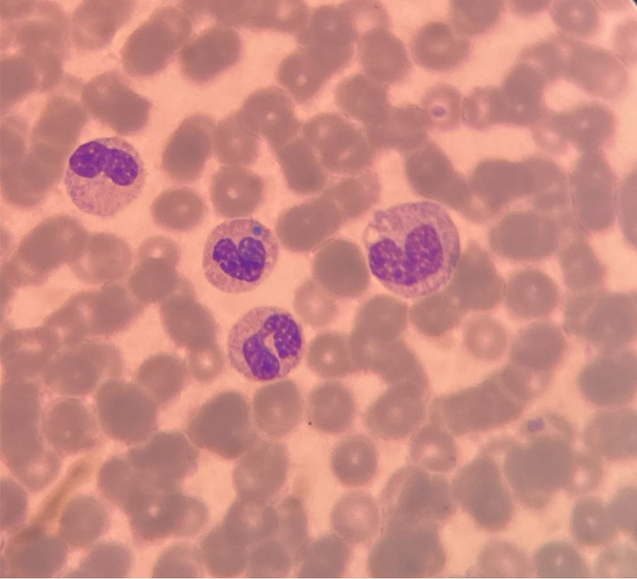
中性杆状核粒细胞」形态特征:细胞呈圆形;胞浆丰富,充满细小紫红色
图片尺寸750x555
不同寻常的大细胞性贫血探因之路
图片尺寸640x473
如何区分中性杆状粒和单核细胞?
图片尺寸685x392
分类 自然科学 生物学 实验二粒细胞系统形态ppt 中性杆状核粒细胞 胞
图片尺寸1080x810
粒 细 胞 系 列 原粒 早幼粒 中幼粒 晚幼粒 杆状核粒 分叶核粒
图片尺寸1080x810
中性粒细胞
图片尺寸685x1023
猫嗜中性杆状核粒细胞
图片尺寸640x475
形态特征:中性粒细胞因毒性变化而保留的局部嗜碱性区域,呈圆形,梨形
图片尺寸640x563
中性粒细胞胞
图片尺寸900x1200
中性粒细胞胞
图片尺寸1200x900
nrbc百分比高达上千你以为的真的是你以为的吗
图片尺寸593x532
中性粒细胞核鼓槌(核突起)
图片尺寸554x308
中性杆状粒细胞
图片尺寸1080x810
如下:于是人工复检,推片看镜下,细胞的分类也以中性杆状核粒细胞为主
图片尺寸900x818
如何区分中性杆状粒和单核细胞?
图片尺寸601x276
中性杆状核粒细胞
图片尺寸220x166
▼11.「嗜碱性杆状核粒细胞」12▼12.「组织嗜碱细胞/肥大细胞」13.
图片尺寸1040x770
2,红细胞减少症:(1)生理性减少:见于妊娠中,后期;(2)病理性减少;见于
图片尺寸407x268