中脑黑质超声

经颅超声在帕金森病痴呆症状中的声像图表现
图片尺寸932x1116
经颅脑实质超声检查(tcs).
图片尺寸320x369
医学影像 "脑黑质超声"就是超声探头通过颞窗直接扫查中脑黑 - 抖音
图片尺寸924x698
颅脑超声
图片尺寸2208x1242
早期诊断帕金森,黑质超声来帮您_检查_患者_回声
图片尺寸509x336
超声医学讨论版 - 爱爱医医学论坛
图片尺寸768x576
【影像讨论】小脑,脑干(注意发帖格式 )
图片尺寸1465x735
颅脑超声
图片尺寸2208x1242
【医咖说】你真的了解帕金森吗
图片尺寸758x512
新技术新能力新服务您帕了吗黑质超声来诊断
图片尺寸1025x687
亚急性坏死性淋巴结炎治疗方法
图片尺寸640x693
神经系统变性疾病缺氧与脑血管疾病
图片尺寸1152x1122
自身免疫性脑炎
图片尺寸895x1174
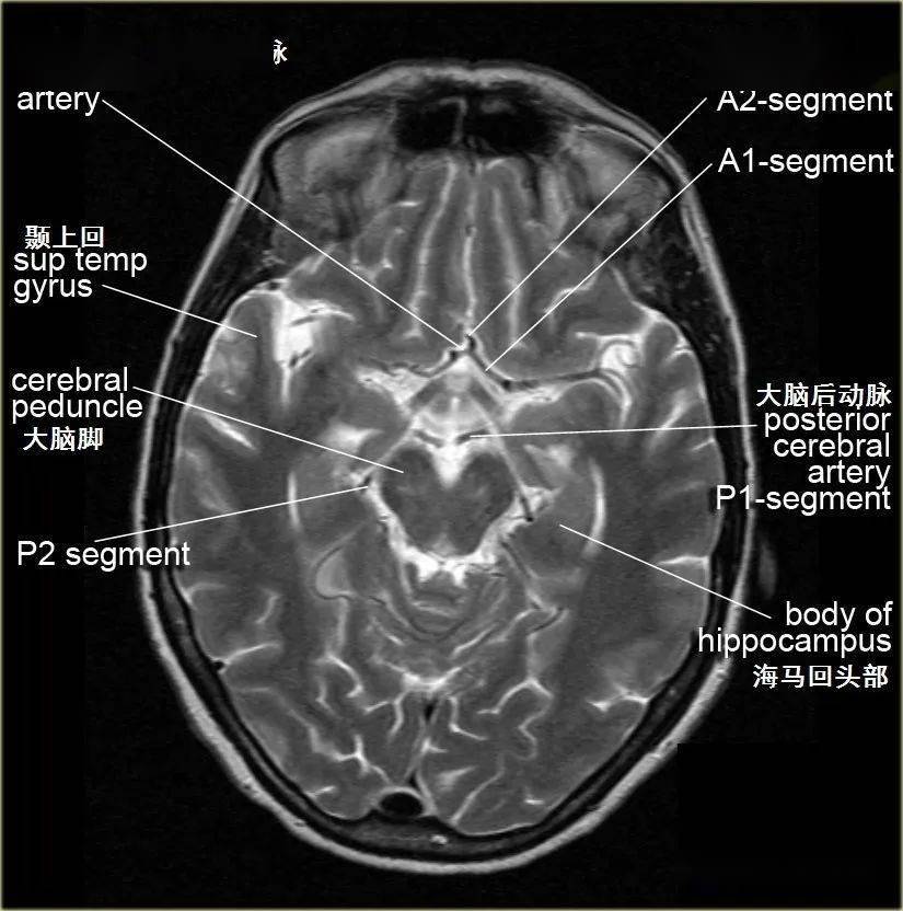
学习借鉴脑的断面解剖
图片尺寸825x832
佳品有约如何通过术中磁共振导航电生理超声等实现术中脑功能结构
图片尺寸1080x682
手抖,行动迟缓就是帕金森?中脑黑质超声检查告诉您真相
图片尺寸640x495
中脑内的黑质
图片尺寸1080x810
帕金森病的病变部位在人脑的中脑部位,该处有一群神经细胞叫黑质神经
图片尺寸1080x490
中脑内的黑质
图片尺寸525x469
红核左右各一,位于中脑中线的两侧,黑质之背内侧.
图片尺寸628x291