为什么老年人阴囊大

睾丸疝气图片 (32)_有来医生
图片尺寸712x399
世界上最大的睾丸重达120斤没有适合他的裤子
图片尺寸600x400
阴囊血肿的中医辩证施治方法!
图片尺寸866x491
【病例报告】老年男性,阴囊paget病(手术图片)
图片尺寸640x480
斜疝常常从下腹部腹壁内的腹股沟管向外突出,或直接进入阴囊.
图片尺寸1080x715
老年人急性阴囊疼痛诊断为何罕见病例
图片尺寸1016x1070
66岁老人阴囊起了大包,怒气冲冲,这是怎么回事?
图片尺寸500x329![【病例讨论】阴囊巨大肿物 [病例帖]](https://i.ecywang.com/upload/1/img0.baidu.com/it/u=3424912235,2757600196&fm=253&fmt=auto&app=138&f=JPEG?w=667&h=500)
【病例讨论】阴囊巨大肿物 [病例帖]
图片尺寸3648x2736
阴囊肿大:美男子睾丸89斤(组图)
图片尺寸550x321
阴囊和睾丸的其他疾患睾丸附睾炎是睾丸和附睾的炎症.
图片尺寸480x326
黑龙江4老人养老院被切睾丸 称呼救没人管
图片尺寸300x602
寻人启事:揭西88岁老人走失,望各位网友帮忙找找.
图片尺寸640x853
阴囊肿大疼痛怎么回事?
图片尺寸373x281
爽身粉老年人阴囊潮湿男士私处腋下玉米痱子粉大成人吸汗干燥
图片尺寸800x800
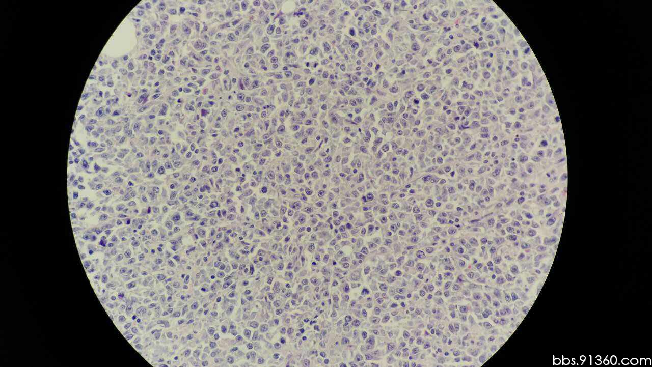
男72岁左睾丸肿物【91360泌尿沙龙69】
图片尺寸1280x721
九旬老人保持乐观积极治疗医生助他4次抗癌成功
图片尺寸4054x2703
概述鞘膜积液是阴囊中的一种肿胀,阴囊是容纳睾丸的皮肤囊袋.
图片尺寸660x800
讨论|巨大腹股沟阴囊疝(4) - 好大夫在线
图片尺寸705x910
病例分享60岁男性右侧睾丸巨大鞘膜积液
图片尺寸4096x3072
分享一张我手机里的临床图片# 患者阴囊旁又长出一个「阴囊」?
图片尺寸640x853