主动脉夹层CTA

如何通过cta判断急性/慢性主动脉夹层?
图片尺寸960x540
术前cta提示胸主动脉夹层,红色箭头示主动脉撕裂的内膜片.通讯员供图
图片尺寸500x482
分享主动脉夹层cta
图片尺寸512x512
男子咳嗽4个月不见好转检查却发现致命的主动脉夹层
图片尺寸640x323
夹层可能,经猪尾导管行主动脉造影不安全,接下来完成了主动脉cta检查
图片尺寸1080x810
罕见病例:急性医源性主动脉夹层
图片尺寸491x360
主动脉夹层详细图解 - 好大夫在线
图片尺寸574x405
主动脉夹层动脉瘤的ct表现是怎样的?
图片尺寸430x277
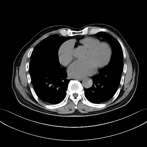
经典图谱ct平扫诊断主动脉夹层
图片尺寸418x738
主动脉夹层诊断与治疗
图片尺寸656x489
主动脉夹层增强ct影像资料,.
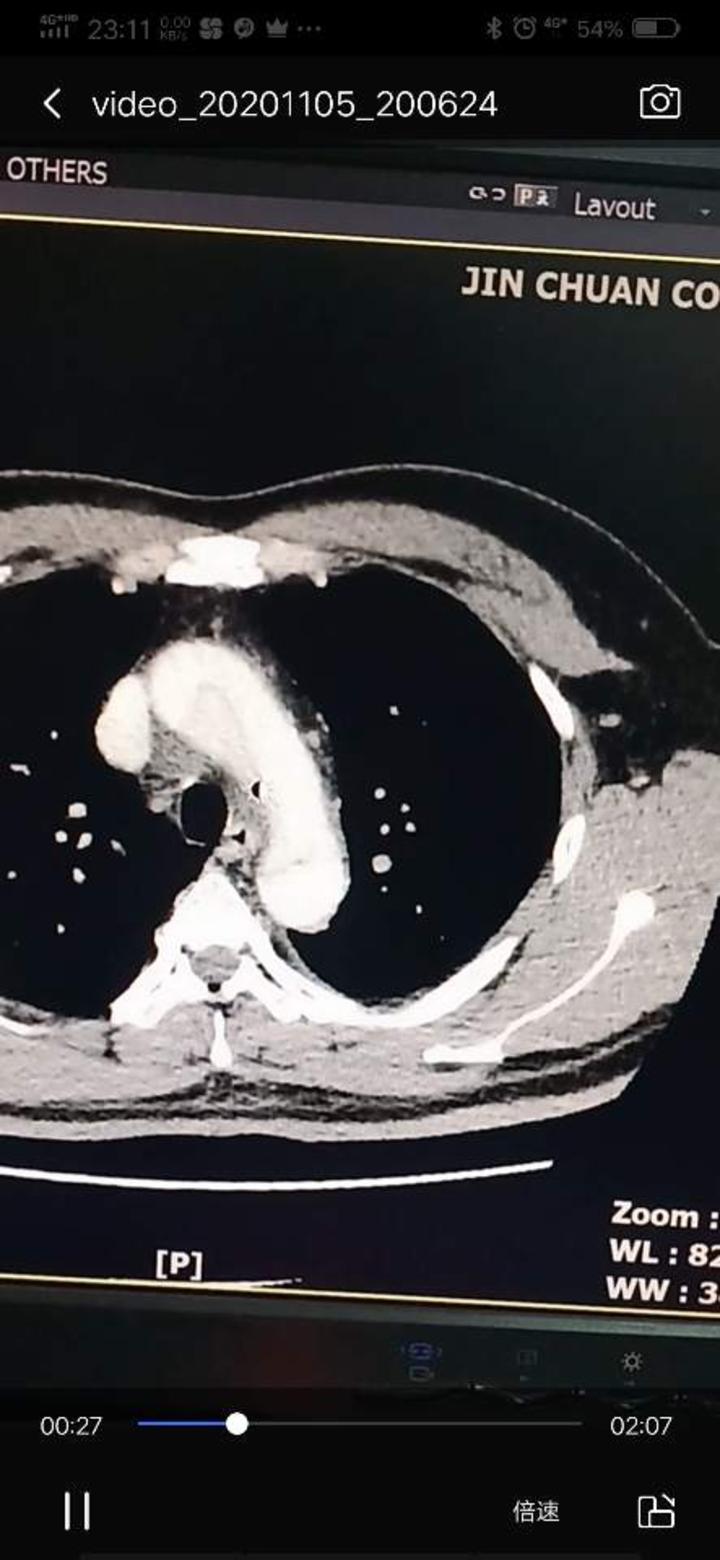
图片尺寸720x1560
经典图谱ct平扫诊断主动脉夹层
图片尺寸508x511
主动脉夹层分型及临床
图片尺寸640x852
28病例 写美篇病例一: 诊断意见: 主动脉夹层(stanforb型).
图片尺寸1536x2046
斯坦福a型主动脉夹层
图片尺寸760x920
经冠脉ct,主动脉cta等检查,诊断为a型主动脉夹层,已经累及肠系膜上
图片尺寸865x750
ct影像 主动脉夹层
图片尺寸1280x1024
简称主动脉夹层.
图片尺寸1600x1200
急诊cta显示主动脉夹层,近端破口位于近左锁骨下动脉处大弯侧,内膜
图片尺寸1600x1200
经典图谱ct平扫诊断主动脉夹层
图片尺寸512x512