主动脉溃疡

什么是主动脉溃疡?危险吗?_澎湃号·湃客_澎湃新闻-the paper
图片尺寸549x412
"贞"心一"课"|应用可主动调控胸主动脉覆膜支架治疗穿透性溃疡一例
图片尺寸1080x702
血栓闭塞性脉管炎脚踝大面积溃疡图
图片尺寸400x300
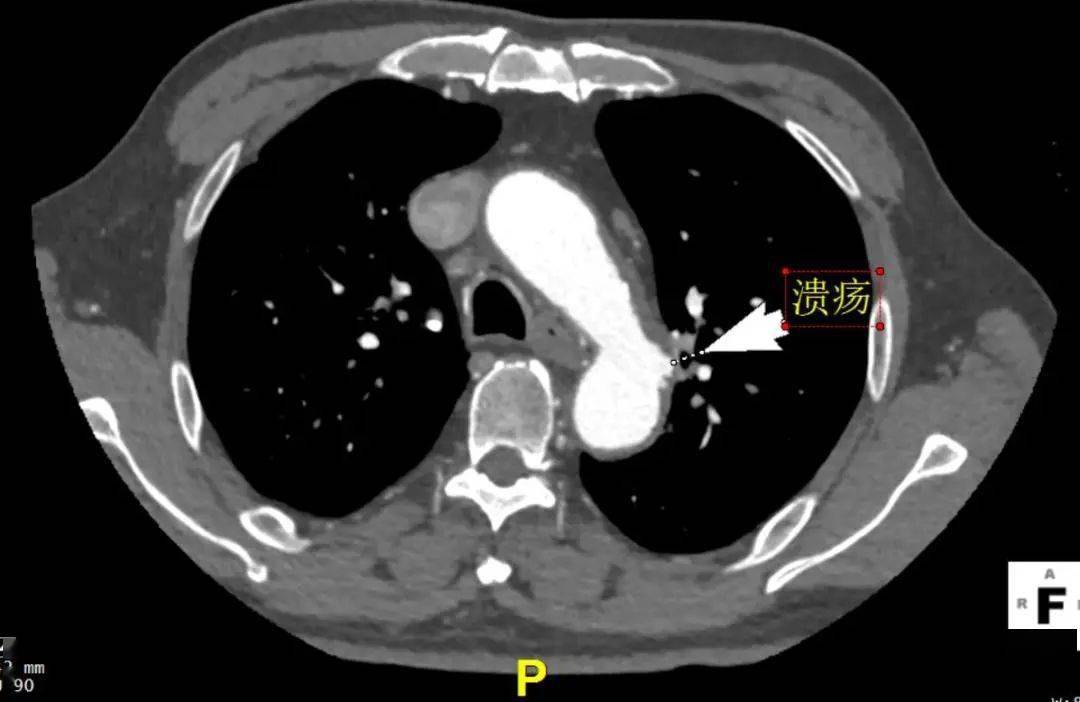
广医一血管外病例分享:胸降主动脉多发性溃疡
图片尺寸1080x1428
主动脉也会"溃疡"
图片尺寸1006x604
出现胸痛,背痛,腹痛要注意→_主动脉_夹层_患者
图片尺寸898x1280
主动脉夹层/壁间血肿/穿透性溃疡,啥关系,咋区分
图片尺寸452x366
脉管炎这种溃疡要怎么处理有图
图片尺寸3120x4208
主动脉也会"溃疡"
图片尺寸1026x566
西北专栏甘肃省人民医院陈泉教授团队分享了1例主动脉穿透性溃疡并壁
图片尺寸1080x1531
血液透析患者顽固性皮肤溃疡伴下肢动脉重度闭塞两例
图片尺寸2756x1652
主动脉穿透性溃疡伴壁内血肿病例报告
图片尺寸890x1313
主动脉也会生溃疡
图片尺寸569x425
郑大二附院血管外科成功为腹主动脉溃疡伴先兆破裂患者实施手术
图片尺寸660x870
我们对于小动脉硬化性溃疡的关注太少
图片尺寸1080x810
心血管内科东院院区采用微创手术救治一名主动脉多发性溃疡患者
图片尺寸1267x1106
自己经历的一例主动脉穿透溃疡病例
图片尺寸3556x2000
全天门诊,下午抽空顺手做了个主动脉弓部溃疡的腔内覆膜支架修复加左
图片尺寸1280x1706
动脉性溃疡 是由于皮肤血液供应不足引起的,其中动脉粥样硬化是最主要
图片尺寸387x287
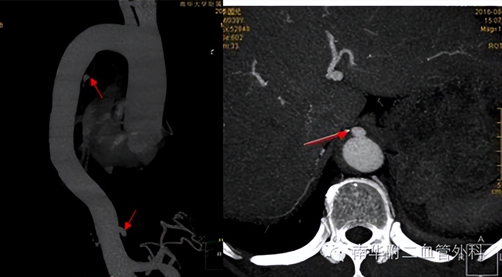
术前检查▲术后造影手术一个小时,成功为患者行局麻下胸主动脉腔内
图片尺寸1075x1440