主动脉窦瘤破裂

主动脉窦瘤破裂是一种少见的疾病.
图片尺寸1000x488
主动脉窦瘤破裂
图片尺寸654x449
主动脉窦瘤一定会发生破裂吗
图片尺寸1024x576
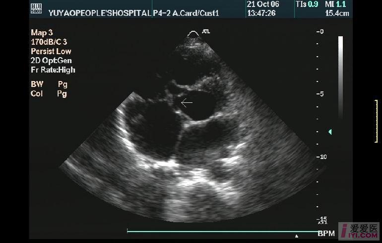
主动脉右冠状窦瘤破裂
图片尺寸770x489
主动脉破裂命悬一线多科室合力挽救生命
图片尺寸640x626
赞!市人民医院介入血管心脏外科成功抢救胸主动脉瘤破裂出血患者
图片尺寸800x600
主动脉右冠窦瘤破裂破入右房
图片尺寸554x883
主动脉窦瘤破裂教学课件
图片尺寸920x690
病例分享丨主动脉窦瘤破裂一例
图片尺寸989x634
省小钱,花大钱,降压药吃吃停停,主动脉瘤破裂,真的是命悬一线
图片尺寸814x362
抢救a型夹层动脉瘤破裂
图片尺寸3456x4608
省小钱,花大钱,降压药吃吃停停,主动脉瘤破裂,真的是命悬一线
图片尺寸944x1256
no,另有隐情!主动脉窦瘤破裂
图片尺寸900x675
主动脉窦破裂
图片尺寸300x220
八旬老人腹主动脉瘤破裂生死一线市人民医院多学科合作成功拆弹
图片尺寸960x1280
邢台市人民医院心脏外科急诊成功完成一例外伤导致主动脉夹层!
图片尺寸1200x1600
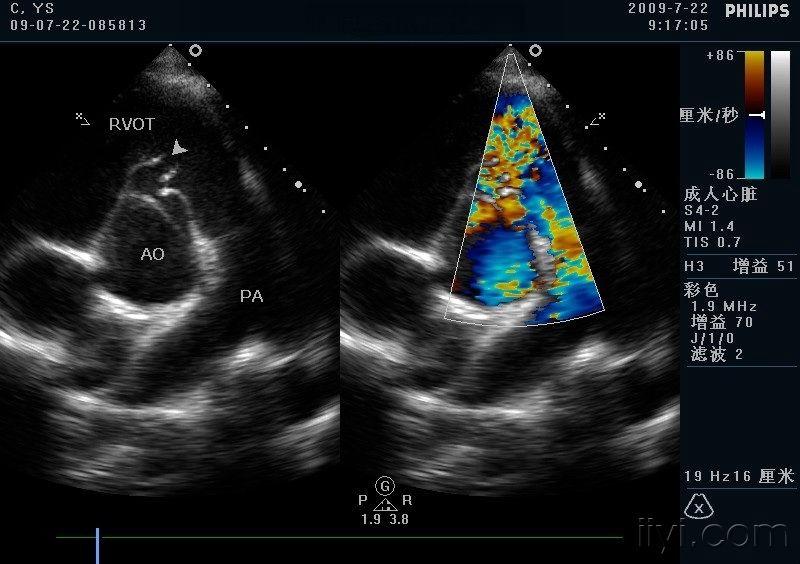
一文带你get主动脉窦瘤破裂的超声心动图诊断
图片尺寸524x473
主动脉窦假性动脉瘤
图片尺寸1280x1257
主动脉右冠状窦瘤破裂
图片尺寸770x489
室间隔缺损 主动脉右冠窦瘤破入右室流出道
图片尺寸800x564