主肺动脉间隔缺损

主肺动脉间隔缺损的先天性畸形
图片尺寸800x280
主-肺动脉间隔缺损?(7.15上传上级医院检查结果 6楼)
图片尺寸720x576
主-肺动脉间隔缺损简介
图片尺寸327x283
肺动脉栓塞
图片尺寸1080x608
室间隔缺损 vsd 占先心病 20% 分类: 膜周 肌部 干下 多发
图片尺寸1080x810
主肺动脉间隔缺损
图片尺寸896x1195
2.缺损大小
图片尺寸600x578
多心眼的室间隔缺损需要手术不
图片尺寸374x247
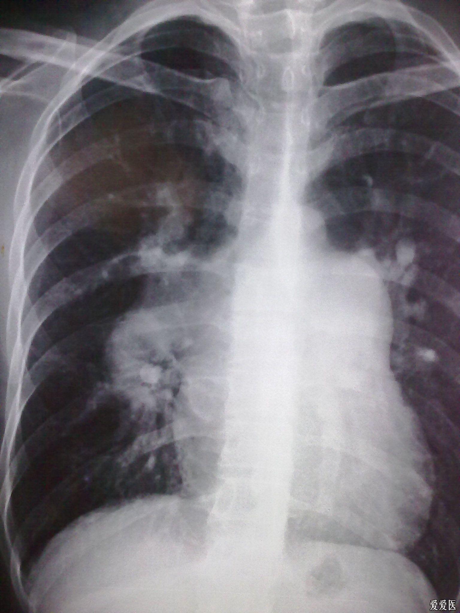
典型肺动脉高压胸片(室间隔缺损)
图片尺寸1536x2048
主-肺动脉间隔缺损影像-医学影像图
图片尺寸478x510
【超声微课堂】主动脉肺动脉间隔缺损经胸超声心动图诊断
图片尺寸1080x608
x线诊断 主动脉结 升主动脉 肺动脉段 右心房 左心室 横位心
图片尺寸1080x810
a,主肺动脉间隔缺损.
图片尺寸766x1144
比如说主要看室间隔,房间隔是否有缺损,心肌是否有薄厚变化
图片尺寸478x441
常见先天性心脏病之房间隔缺损
图片尺寸612x432
肺动脉血管造影示右下肺动脉主干部分充盈缺损
图片尺寸550x330
合并室间隔缺损的肺动脉闭锁_室间隔缺损_介绍_治疗方式_检查 - 好
图片尺寸361x289
潍坊市中医院心外科手术新拓展
图片尺寸766x516
主动脉结 上腔静脉 肺动脉段 右心房 左心室 正常儿童心脏
图片尺寸1080x810
出生32天的男婴,睡在手术台上,他将经历一场殊死搏斗|肺动脉|主动脉
图片尺寸660x643