乳头paget氏病

乳头paget病(图)
图片尺寸550x382
乳头paget病 - 知乎
图片尺寸3189x2667
乳头pagets病一例
图片尺寸680x510
每日一例1205乳腺paget病病例精读分析
图片尺寸960x720
全球第 4 例:头部异位性乳房外 paget 病
图片尺寸617x689
【病例分享】乳头paget病
图片尺寸557x369
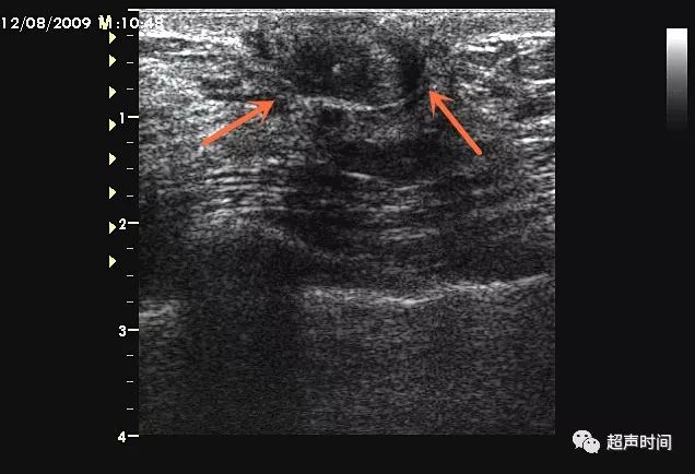
乳腺皮肤增厚,乳头回缩,伴乳晕后方肿块引起组织变形.
图片尺寸371x900
每日一例1205乳腺paget病病例精读分析
图片尺寸960x720
全球第 4 例:头部异位性乳房外 paget 病
图片尺寸640x475
全球第 4 例:头部异位性乳房外 paget 病
图片尺寸640x480
乳头特殊的湿疹样病变paget病
图片尺寸640x465
临床上多表现为累及乳头的皮肤改变,典型为湿疹样改变.
图片尺寸640x711
斑块常伴有湿疹化呈表浅糜烂,渗液或结痂(图1)可形成溃疡及乳头回缩
图片尺寸300x285
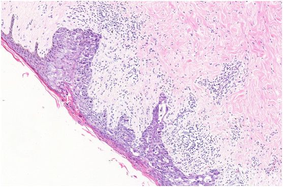
表皮基底及棘层见paget细胞肿瘤细胞胞质透亮,细胞核
图片尺寸640x480
乳腺pagets病的重要特征是:除了乳头乳晕复合体表皮出现肿瘤细胞外
图片尺寸500x334
乳头paget病少见易漏诊你遇到过吗
图片尺寸760x574
乳腺pagets病1例
图片尺寸680x504
图解两种乳腺炎的诊疗
图片尺寸1280x960
乳头paget病少见易漏诊你遇到过吗
图片尺寸636x434
a:淋巴结内 paget 样细胞浸润(he 染色);b:cea
图片尺寸900x456