乳牙恒牙

白色表示乳牙,浅黄色表示恒牙
图片尺寸640x492
恒牙和乳牙的区别,你们都知道吗?
图片尺寸755x904
乳牙拔出来牙根这么长,会影响恒牙长出吗?我家的小男孩96 没 - 抖音
图片尺寸1080x1920
乳牙滞留?树袋宝宝教你怎么做_恒牙
图片尺寸524x354
乳牙提前下岗 影响恒牙
图片尺寸1728x1080
来看儿童换牙攻略|恒牙|乳牙|龋齿|口腔健康检查_网易订阅
图片尺寸660x440
乳牙和恒牙的区别图片学会区分乳牙和恒牙
图片尺寸500x536
乳牙和恒牙
图片尺寸550x425
哈医大一院专家教你4招轻松分辨乳牙还是恒牙
图片尺寸759x506
写美篇同时,瑞瑞下门牙有2颗乳牙因龋坏严重而过早缺失,导致恒牙过早
图片尺寸1000x667
了解乳牙和恒牙
图片尺寸1079x1547
陈梦冉:乳牙平平的,而恒牙是锯齿状的.
图片尺寸1080x810
很多家长都在犯_恒牙_乳牙_孩子
图片尺寸768x512
我们通过学习,知道了如何区分恒牙和乳牙,原来有这么多的不同呢!
图片尺寸2024x2000
乳牙开始生理性脱落,替换乳牙的恒牙相继萌出,这便是儿童换牙期
图片尺寸750x562
孩子总哭喊牙疼,医生:双排牙都长坚实了,爸妈早干吗去了|乳牙|恒牙
图片尺寸1200x757
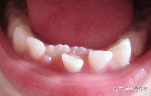
小孩六岁,乳牙没有掉恒牙就冒出来了一点,要注意哪些?
图片尺寸505x323
儿童牙齿外伤分为乳牙外伤和年轻恒牙外伤.
图片尺寸1536x1534
乳牙和恒牙的区别如何区分乳牙和恒牙
图片尺寸600x435
孩子下门牙长了恒牙,乳牙还没掉,也不怎么松动,要去拔掉吗
图片尺寸2423x1693